의료상담
사랑니 뽑아야하는데 난이도 높은 편인가요?
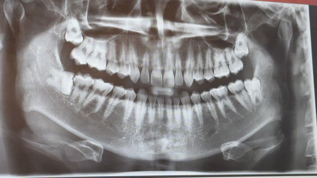
통증같은건 따로 없었는데 냄새가 좀 나는거같길래 오른쪽 아래에 똑바로 나있는건 동네 병원에서 뽑기로 했습니다. 위에 두개나 왼쪽에 누워있는거의 경우 난이도가 많이 높은지 걱정입니다. 이 전에 갔던 병원에선 대학병원에 가라 했었는데 난이도가 많이 어려운건가요?55글자 더 채워주세요.
5개의 답변이 있어요!
안녕하세요. 송우식 치과의사입니다.
아래 누워있는 수평매복 사랑니는 난이도가 높은 편입니다. 윗쪽 양쪽 2개 사랑니고 난이도가 높은 편입니다. 대학병원 아니라도 구강외과 전문의가 진료하는 동네 치과 가도 됩니다.
안녕하세요. 김지훈 치과의사입니다.
일반 치과에서 발치를 하는 것도 불가능해보이지는 않습니다만 혹시 모르니 대학병원 가시는 게 낫습니다.
안녕하세요. 박백현 치과의사입니다.
저 엑스레이 만으로 왼쪽 위(사진상) 사랑니의 난이도를 판별하기는 쉽지 않습니다.
CT등을 찍어봐야 될거 같습니다.
왼쪽아래(사진상) 사랑니는 난이도가 낮습니다.
감사합니다.
안녕하세요. 김철진 치과의사입니다.
사랑니 난이도가 꽤 높을것같습니다 매복 깊이도 깊고 신경과의 거리고 많이 가까운것같습니다.
안녕하세요. 안상우 치과의사입니다.
오른쪽 아래와 왼쪽 아래에 있는 사랑니의 경우에는 매복되어 있기 때문에 발치 발치도가 높은 편에 속합니다. 구강 외과 전문의 선생님한테 발치를 한다면 조금 더 편하게 발치를 할 수 있을 것으로 생각됩니다.

