아핫뉴스실시간 인기검색어
아핫뉴스 화산 이미지
화산 아이콘 11
윤석화 별세 추모 물결
아하

의료상담

이비인후과

너그러운천인조226
너그러운천인조226

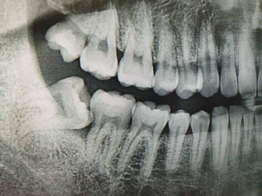
매복 사랑니 많이 아픈가요? 발치를 해야한다는데

파노라마? 그사진을 찍었는데 사랑니 머리쪽 조금이 어금니에 붙어잇는상태로 잇몸에 묻혀있다고하더라구요

이상태인데. 안쪽에 음식물도 끼고 이쑤시개로 빼네는게 한계가있더라구요 많이아플까요?

  • 1번 째 사진
3개의 답변이 있어요!
  • 검붉은강아지135
    검붉은강아지135

    안녕하세요? 아하(Aha) 의료 분야 지식답변자 정진석 의사입니다.
    질문하신 내용에 대하여 아래와 같이 답변 드립니다.

    방사선 사진으로 보았을 때 부분 매복 사랑니로 보입니다. 위치나 형태로 보아 뽑기 힘들지 않아 보이며 5~10분이내에 발치 할 수 있습니다. 하지만 정확한 위치를 파악하기 위해 Dental CT를 찍을 것이고 그러면 훨씬 발치하는데 통증과 부작용을 줄이고 뽑을 수 있습니다. 지금 상황으로 보아 앞쪽 어금니 뒷 부분에 충치를 발생시키고 잇기 때문에 빨리 뽑는것이 좋습니다.

    아무쪼록 저의 답변이 문제 해결에 작게 나마 도움이 될 수 있기를 기원드립니다. 항상 건강하고, 행복하세요^^

    정진석 치과의사 드림

  • 안녕하세요? 아하(Aha) 의료 분야 지식답변자 김선익 의사입니다.
    질문하신 내용에 대하여 아래와 같이 답변 드립니다.
    보통 사랑니가 누워서 있다면 적어주신 것처럼 음식물이 끼었을 때 양치가 어려워 충치가 생기는 경우가 많습니다.
    문제인 사랑니뿐만 아니라 앞에 있는 어금니도 충치가 생겨 문제가 커질 수 있다는 것입니다.
    충분히 마취를 하고 진행하며 시술시간도 짧을 수 있으므로 통증 관련하여 치과에 내원하셔서 상담 받아 보시길 바랍니다.
    답변이 되었길 바랍니다. 

  • 안녕하세요? 아하(Aha) 의료 분야 지식답변자 이정현 의사입니다.
    질문하신 내용에 대하여 아래와 같이 답변 드립니다.

    사진으로 볼 때 치아가 기울어져있어서 양치질이 쉽지 않을 것으로 보입니다.

    이런경우 치아윗부분을 조각내어 발치해야합니다.

    2등분해야할 수 도 있고, 3,4등분 해야할 수 도 있습니다.

    마취만 잘 된다면, 크게 아프진 않습니다. 다만, 마취가 풀린뒤 통증이 며칠 있을 가능성이 높습니다.

    답변이 도움이 되길 바랍니다. 감사합니다.