아하
  • 토픽

  • 스파링

  • 잉크

  • 미션


의료상담

까칠한풍뎅이14

까칠한풍뎅이14

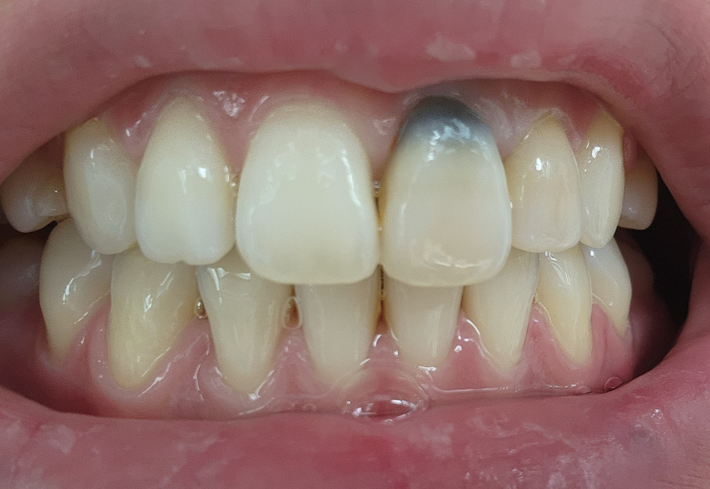
실활치 미백후 치아통증, 대학병원을 가봐야할까요?




오래전 검은색으로 변색된 저 치아와 바로옆 작은 앞니가 같이 빠진적이 있습니다. 그래서 신경치료를 진행했었는데 점점 큰앞니만 변색되기 시작했습니다.


크게 불편함을 못느끼고 살고있었는데, 실활치미백을 하면 하얗게 다시 바꿀 수 있고 크게 비용이 들지 않는다는 것을 알게 되었습니다.


그래서 신경치료했던것을 다 긁어낸 후 다시 신경치료하고 그 이후 실활치미백을 진행했고, 9월-10월 사이 3번의 미백치료로 밝아진 줄 알았으나 12월쯤 다시 어두워지기 시작해 한번 더 받아 총 4번의 미백을 진행했습니다.


타임라인은 아래와 같습니다.







근데 문제는,

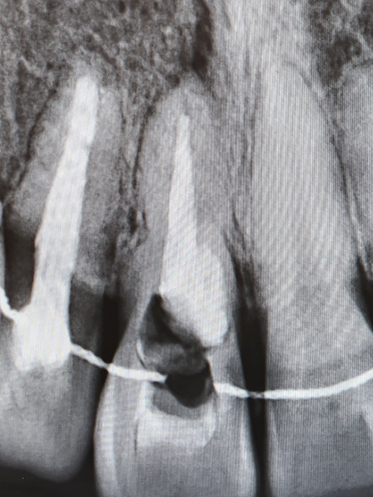
빠졌던 앞니 두개의 사이 뿌리부분 잇몸쪽에서

최근 통증이 발생했습니다.




2회차 미백치료 진행시에 잇몸부분과 거의 맞닿아 있는 부분만 아직도 까맣게 되어있었고 치아 내부를 조금더 파낸 뒤 3회차 미백을 진행했습니다.


그리고 교정유지장치를 다시 달기 전 스케일링을 부탁드렸고 스케일링을 받고 나니 충치로 인해 치아가 부서져있는것을 발견하게 되었습니다.







그래서 충치치료를 진행한 것이 이 두 사진입니다.




이제 모든 치료가 다 끝난 줄 알았으나, 2달도 채 되지않아 다시 어두워지고 있는 느낌이 들어 다시 상담을 받았고, 원래 실활치미백이 잘 이루어진 경우에는 이렇게 빨리 어두워지지 않는다는 답변을 받았습니다.


그래서 다시 한번 더 진행해보기로 하고 실활치미백을 1회 더 진행하였습니다.






그런데 이전 미백치료때와는 다르게,

4번째 미백치료 진행시 부터는 치료중인 치아 안쪽 잇몸에서 계속적으로 약이 흘러서 새어나오고 있는듯한 느낌이었습니다. 약품맛이 계속적으로 식사할때마다 느껴졌습니다.


그래서 4번째 미백 후에 치아를 다시 레진으로 덮을지, 한번 더 미백을 진행할지 상담을 받았고, 저는 어차피 이렇게 약품이 치아에 전달되는 것이 아니라 계속 잇몸을 통해서 흘러나온다면 의미가 없을 것이라고 생각되어 그냥 레진으로 다시 덮고 끝내달라고 말씀드렸습니다.








이 두사진은 레진으로 덮기 전 상담받는 당시 사진입니다.


상담해주실때, 지금 이정도로 뚫어서 진행을 했었고, 아직도 안쪽에 사진상 보이는 저 검은색 부분이 오염된 부분이며 치아 안쪽을 더 뚫어서 다 제거하기에는 치아 외벽이 거의 남아있지 않아 치아 자체가 부서질 수 있다고 하셨습니다.




여기서 제가 궁금했던 건,


치아 내부에 약을 넣었는데 잇몸으로 약이 흘러나온다는 건

치아에 이미 균열이 있다는 뜻이고,


또 그렇다면 내부에 남아있는 충치균이

그 균열된 부분을 통해서 나온다거나,

아니면 나오진 않더라도 내부에 오염된 채 있으면

치아 내부에서 계속 썩어들어가는것이 아닐지


였습니다.



이 부분에 대해서는 균열이 있을 수도 있으나 그럴일은 없다 라는 식으로...? 말씀을 뭐라 해주셨었는데 제입장에선 이해가 잘되지 않았어서 정확히 기억이 나지 않습니다.




그래서 무튼 현재






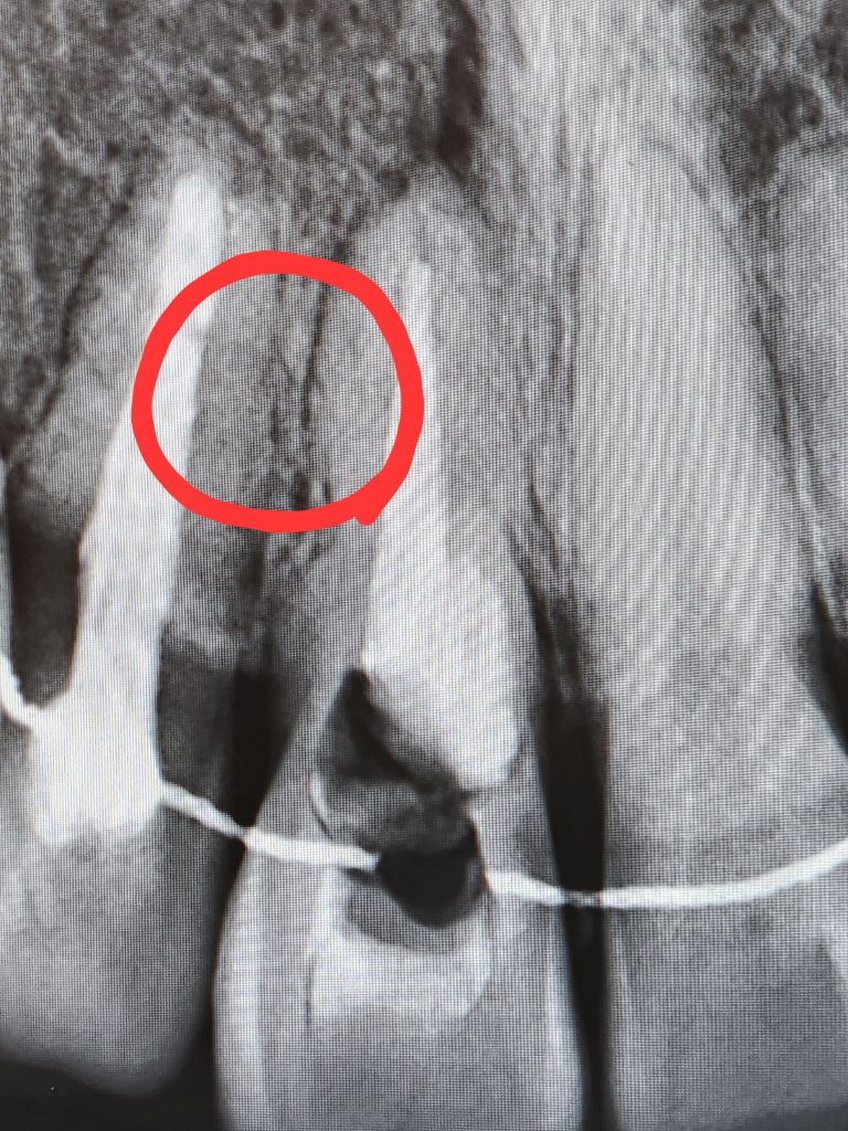
이쪽 부근에서 통증이 느껴지고 있습니다.

심할정도는 아니지만, 충치균 때문인거라면 더 문제되기 전에 치료를 받아야하지 않을까 라는 생각이 듭니다.




근데 이런 문제를 진료받던 치과말고 다른 일반 아무 치과에 가도 해결이 될 수 있을지, 아니면 소견서를 받아서 대학병원을 가보는게 좋을지 잘 모르겠습니다.



어떻게 하면 좋을까요?

  • 1번 째 사진
  • 2번 째 사진
  • 3번 째 사진
  • 4번 째 사진
  • 5번 째 사진
  • 6번 째 사진
  • 7번 째 사진

1개의 답변이 있어요!

  • 김철진 치과의사

    김철진 치과의사

    가까운우리치과

    안녕하세요. 김철진 치과의사입니다.

    치아 뿌리끝에도 염증이 잇는거 같습니다. 소견서를 받아서 대학병원 보존과를 가셔서 검진을 받아보시는게 좋을것같습니다.