아핫뉴스실시간 인기검색어
아핫뉴스 화산 이미지
화산 아이콘 11
이해찬 별세
아하

의료상담

소아청소년과

색다른긴꼬리30
색다른긴꼬리30

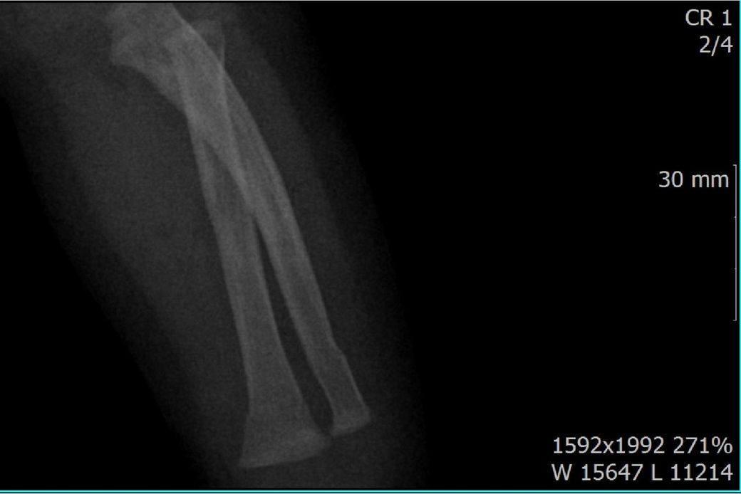
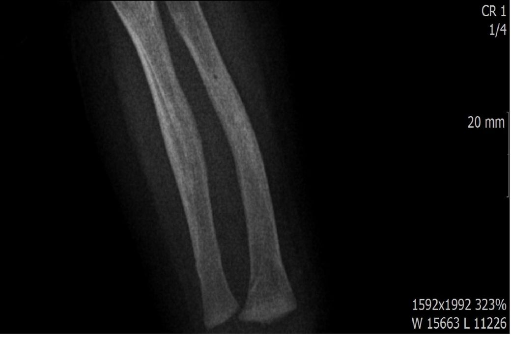
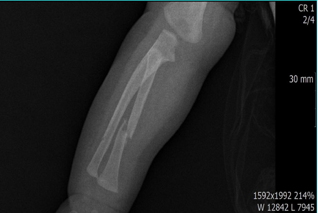
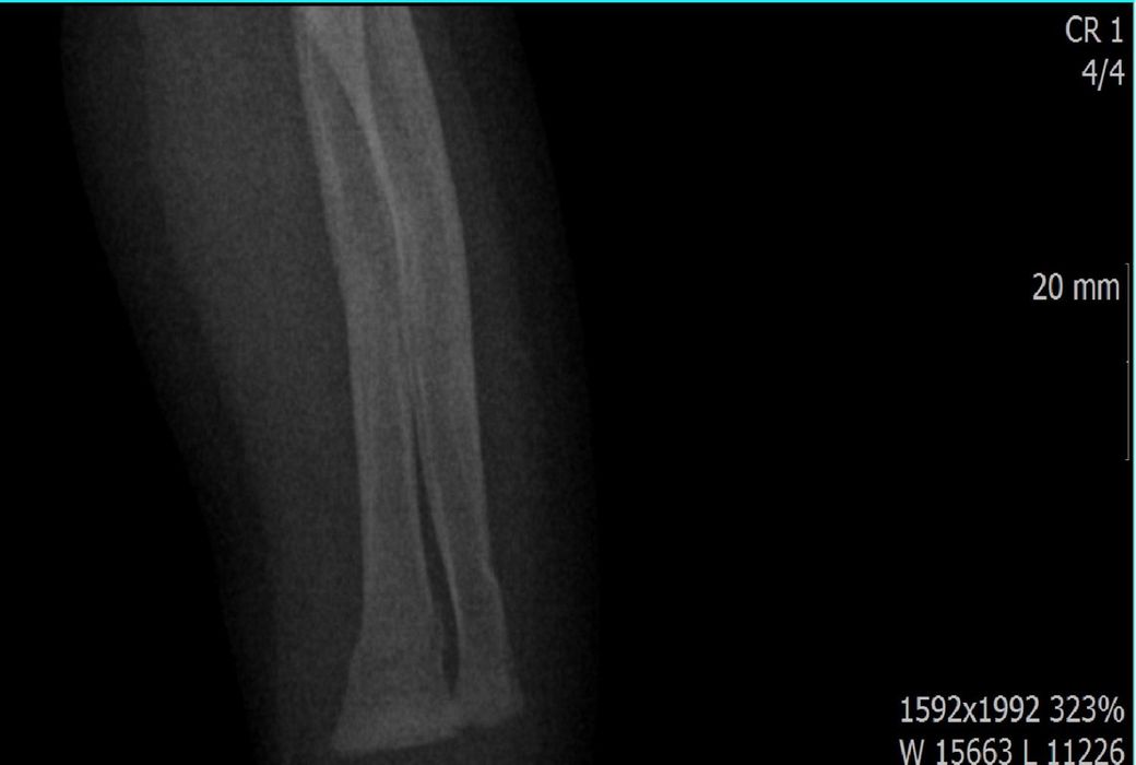
질문 내용과 같이 골절 시기가 궁금합니다.

성별
남성
나이대
00

무더운 날 노고가 많으십니다.

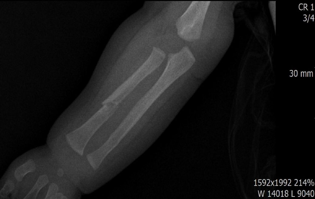
다름이 아니라, 첨부드린 엑스레이(X-ray) 사진처럼 골절 사실을 알게 되고 골절 발생 시점 대략적으로나마 추정시기를 파악하려고 문의 드리게 되었습니다

진료받았던 병원이나 타 병원이 '내가 신도 아닌데 어떻게 아냐'며 협조가 안되고 추정시기도 주장도 달라 너무 답답한 심정에 이 경로로 문의드립니다

1) 3월 30일 촬영한 X-ray만으로 정확한 골절 시기를 100% 특정하는 데에는 한계가 있다는 점 충분히 인지하고 있기에 촬영날짜 기준으로 대략적으로 어느정도 시점에서 발생되었을 것으로 추측(ex 당일, 7~10일전, 7~14일 전, 10일 ~ 20일전, 14일 ~ 30일전 등등등)되는지 이해하고 싶습니다.

100% 정확한 날짜를 지정하기를 요청드리는 것이 아니오라, 대략적인 정보를 원합니다 감사합니다~~


  • 1번 째 사진
  • 2번 째 사진
  • 3번 째 사진
  • 4번 째 사진
  • 5번 째 사진
1개의 답변이 있어요!
  • 안녕하세요. 남희성 의사입니다.

    의사들도 골절이 되자마자 대부분 병원으로 오시고 골절 시기를 추정해야하는 경우가 잘 없기 때문에 X-ray만 보고 골절 시기를 판단하는게 쉽지 않습니다.

    하지만, 아예 불가능한건 아니고 골절선이 얼마나 뚜렷하냐, 골막 반응이 보이느냐, 연골성 가골 형성이 있느냐 등으로 골절 시기를 추정해볼 수 있습니다.

    골절선이 뚜렷하면 0~1주, 골막 반응이 시작되면 1~2주, 연골성 가골이 형성되기 시작하면 2~3주, 가골이 명확해지면 3~6주 정도로 추정할 수 있습니다.

    골절선이 흐려졌고 가골이 형성되기 시작하는 2~3주경이 아닌가 의심이 되지만 제가 골절을 주로 보는 정형외과 전문의가 아니라서 정확도가 떨어집니다.

    영상의학과 전문의나 정형외과 전문의의 고견을 구해보시는게 도움이 되겠습니다.

    내가 신도 아닌데 어떻게 아느냐라는 표현은 저는 의료진이 사용하기에 부적절한 표현으로 생각되며 이러이러해서 판단이 어렵다, 이정도는 추정해볼 수 있다 이렇게 이야기하는게 적절하지 않았을까 생각됩니다.

    의사라고 다 같지 않기 때문에 조금 더 자세히 설명을 해주실 좋은 의료진을 찾아보시기 바랍니다.

    짐작하기에 아기가 골절이 있었는데 언제 생겼는지를 모르시는 상황으로 보입니다. 그런데, 이정도 골절이면 아기가 팔을 못썻을태고 붓기가 심했을텐데 골절 시기가 파악이 안되시는걸까요?