아핫뉴스실시간 인기검색어
아핫뉴스 화산 이미지
화산 아이콘 11
합수본 신천지 압수수색
많이 본
아하

의료상담

치과

생선구이
생선구이

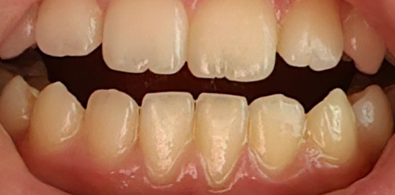
아랫니 앞니 마모가 심한가요?


아랫니가 손톱 뜨는 버릇때문에 많이 마모된거같은데 많이 심한지 궁금해요 보니까 법랑질이 얼마 안남은거 같은데 상태가 좀 나쁜가요?? 학생입니다

  • 1번 째 사진
5개의 답변이 있어요!
  • 안녕하세요. 최석민 치과의사입니다.

    아래 앞니 교모 또는 마모가 걱정될 정도로 심한 상태는 아닙니다

    다만 치은퇴축(잇몸 높이 낮아짐) 증상은 다소 심한데 전반적으로 잇몸에 대한 진단을 치과에 가서 받아보시면 좋겠습니다

  • 안녕하세요. 김지훈 치과의사입니다.

    마모가 심하게 진행된 편은 아닌 것으로 보이며 손톱 뜯는 습관은 고치시는 것이 바람직합니다.

  • 안녕하세요. 안상우 치과의사입니다.

    치아의 부분적으로 파인부위가 보입니다.

    손가락을 뜯는 습관은 치아 건강에 안좋은 영향을 미칠수 있기 때문에 줄이는 것이 좋아요.

  • 안녕하세요. 김철진 치과의사입니다.

    아직은 치아가 마모되거나 그렇지 않은거 같습니다. 그래도 손톱을 뜯는 습관은 안하시는게 좋습니다.

  • 안녕하세요. 송우식 치과의사입니다.

    아랫니에 잇몸이 많이 마모가 된 것으로 보입니다. 가능한 치아에 무리가 가는 손톱을 뜯는 습관은 피하길 권하며, 만약 시리거나 불편감이 있는 경우 잇몸 재생 치료가 필요로 될수 있습니다.

    궁금증 해소에 도움이 되시길 바라며, 도움이 되신 경우 '추천' 부탁드립니다.