의료상담

담낭벽비후 좀 봐주세요 질문드립니다.

성별

남성

나이대

27

기저질환

없음

복용중인 약

없음

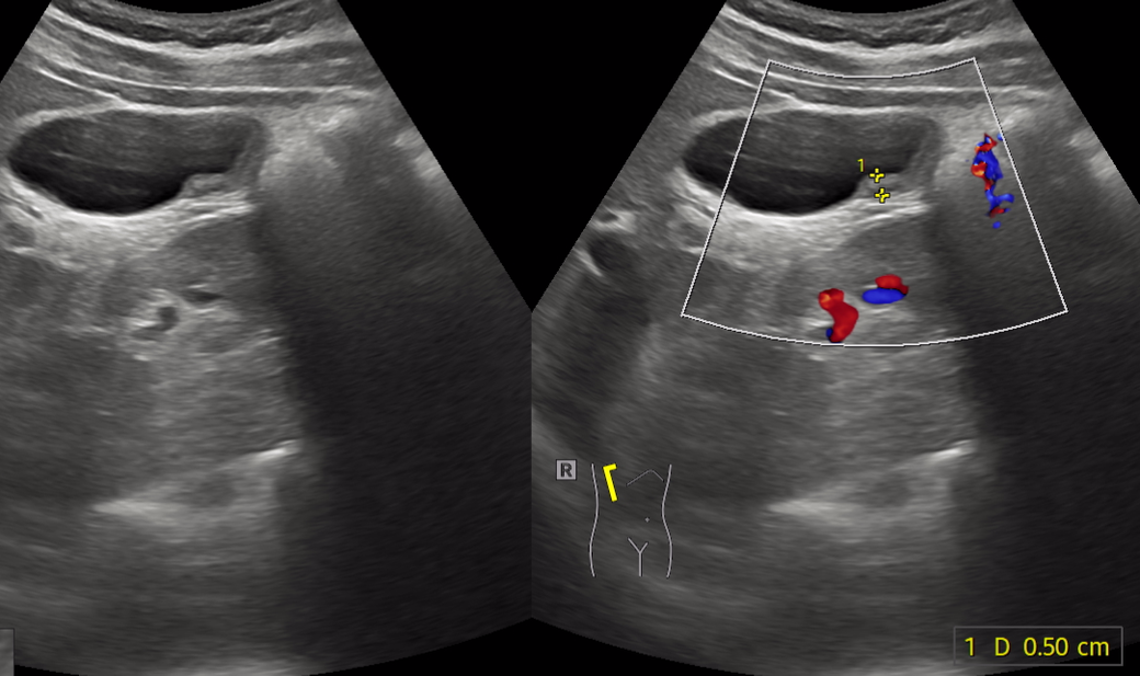
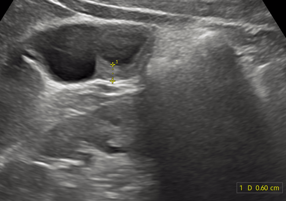
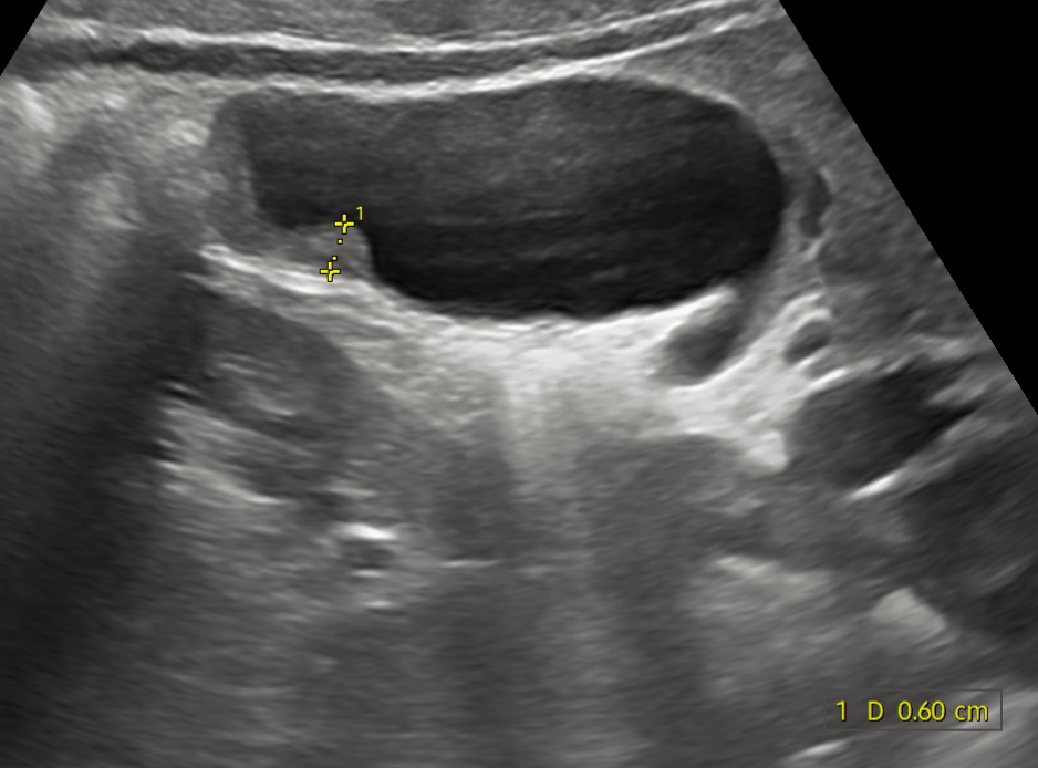
만 나이 25 남자입니다. 담낭암일 수 도 있나요? 가끔 과식할때 소화불량이 있어 우연치 않게 건강검진하다가 현재 초음파검사상 담낭벽비후 진단 받았고 ct결과 기다리는중입니다.

  • 1번 째 사진
  • 2번 째 사진
  • 3번 째 사진

1개의 답변이 있어요!

  • 담낭벽의 비후 소견이 발견되었다면 담낭암에 의한 소견일 가능성이 존재합니다. 그렇지만 해당 소견이 무조건 암을 의미하는 것은 아니며 담낭의 염증 등 가능한 원인은 여러가지 있습니다.