아핫뉴스실시간 인기검색어
아핫뉴스 화산 이미지
아하

의료상담

치과

기막히게적극적인두부김치
기막히게적극적인두부김치

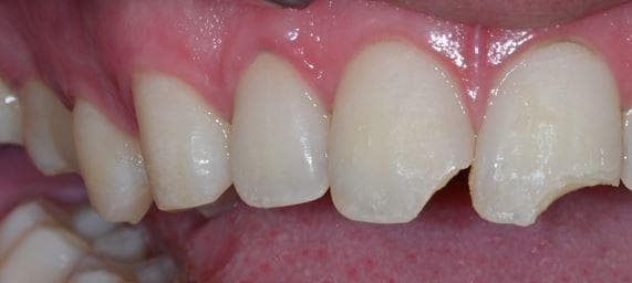
이빨이 부셔졌는데 해당 내용 관련하여 치료방법 문의드립니다.

사진상의 왼쪽,오른쪽 둘다 크라운을 하기로했습니다

왼쪽은 레진으로 치료받아도 상관없을까요

파절부위가 저정도면 레진으로 치료가 가능한지 여쭤봅니다

추후 1.크라운 2.레진 둘다 충치에 대해서 어떤게 관리하기 편할까요..?

1. 충치의 경우 크라운은 크라운 자체를 해체해야 확인이 가능하고 레진은 수시로 확인이 가능해서 여쭤봅니다

2. 레진으로 치료한다쳐도 탈락위험이 클까요?

  • 1번 째 사진
55글자 더 채워주세요.
3개의 답변이 있어요!
  • 안녕하세요. 김지훈 치과의사입니다.

    레진으로 치료가 가능한 정도로 보이며 파절될 가능성은 아무래도 높습니다만 크라운을 하기는 조금 아까운 듯 합니다.

  • 안녕하세요. 김철진 치과의사입니다.

    저부위에 레진으로 하게되면 잘 떨어질 가능성이 높습니다. 크라운으로 하시는게 좋을것같습니다.

  • 안녕하세요. 안상우 치과의사입니다.

    사진으로 봤을 경우에는 손실된 치아의 양이 많아 보입니다. 레진으로 충전을 할 수도 있지만 충전을 했을 경우 탈락이 쉬울 수 있습니다.

PC용 아하 앱 설치 권유 팝업 이미지장도연이 추천하는 아하! 앱으로 편리하게 사용해 보세요.
starbucks
앱 설치하고 미션 완료하면 커피 기프티콘을 드려요!