아하
  • 토픽

  • 스파링

  • 잉크

  • 미션


의료상담

정중한고양이32

정중한고양이32

엑스레이로 광대거리가 자랐는지알수있나요

성별

남성

나이대

20대

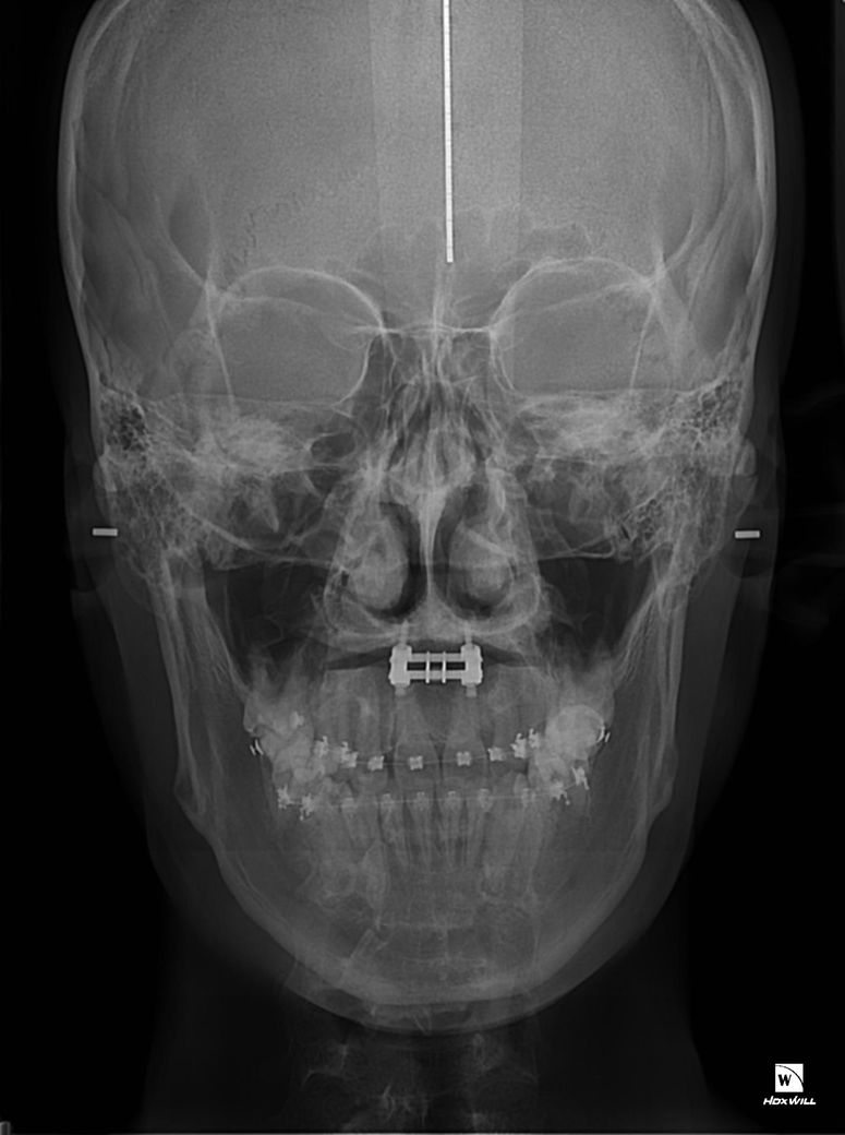
왼쪽사진이 악궁확장돌리기전이고 오른쪽사진이 악궁확장 돌리기후인데 왼쪽사진 엑스라이상에 광대뼈가 하얀색 이어로드에 닿지않고 공간이 널널한반면에 두번째사진에서는 하얀색이어로드 위치를보시면 광대뼈가 닿아있습니다 저만큼 광대뼈가 자랐다는건가요?

  • 1번 째 사진
  • 2번 째 사진

2개의 답변이 있어요!

  • 강한솔 의사

    강한솔 의사

    응급의학과/피부미용

    이 두 장의 단순 X-ray만으로 광대뼈가 자랐다고 판단하기는 어렵습니다.

    머리 위치와 촬영 각도가 조금만 달라도 광대가 더 튀어나와 보이거나 이어로드에 닿아 보일 수 있습니다. 20대에서 악궁확장으로 관골 자체가 의미 있게 성장하는 경우는 드뭅니다.

    정확한 비교는 동일 조건 두부계측이나 3차원 CT로 해야 합니다. 현재 사진만으로는 투영 차이 가능성이 더 큽니다.

  • 글쎄요. 엑스레이 사진을 통해서 분명 뼈에 대한 평가가 가능하긴 합니다만, 두개골 사진의 경우 워낙 뼈가 여러개 겹쳐있고, 조금만 각도가 차이가 나도 차이가 나게 보일 수 있기 때문에 해당 사진 두 장을 놓고 구체적으로 광대뼈가 자랐다 어떻다 평가를 내리기에는 무리가 있겠습니다.