아하
  • 토픽

  • 스파링

  • 잉크

  • 미션


의료상담

대단한콘도르114

대단한콘도르114

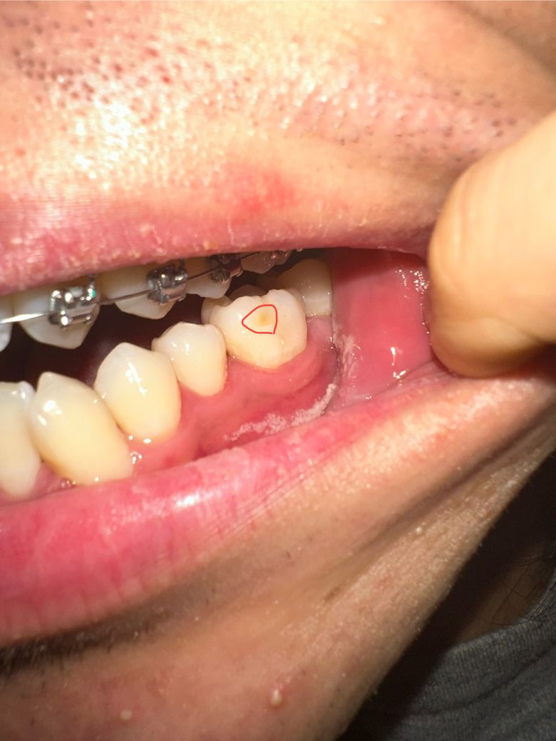
몇일 전에 인접면 충치 레진으로 때웠었는데 한번 봐주세요

제가 교정치료 중인데 하악에 브라켓 부착을 위해 인접면에 있는 충치 치료하고 오라고 하셔서 몇일 전에 인접면에 충치 제거하고 레진으로 떼웠었는데 거울로 보니 아직 좀 파여있는 부분이 있더라구요 레진으로 떼운 부분이 떨어진건 아닌지 걱정이 되어서요..

아 그리고 제가 하악 확장 중이라 가철성 확장장치를 사용 중인데 그거 꼈다뺐다 하면서 떨어졌을 가능성도 있을까요…?

  • 1번 째 사진
  • 2번 째 사진
  • 3번 째 사진

4개의 답변이 있어요!

  • 김지훈 치과의사

    김지훈 치과의사

    메가

    안녕하세요. 김지훈 치과의사입니다.

    기존의 상태를 모르기에 해당 치과에 직접 문의해보시는 게 좋겠고 떨어졌을 가능성은 있어보입니다.

  • 안녕하세요. 김철진 치과의사입니다.

    장치떄문에 떨어진건지는 알수 없지만 사진상으로는 레진으로 떼운부분이 떨어져 나간거 같습니다.

  • 안녕하세요. 최석민 치과의사입니다.

    네 장치 쇠 고리 걸리는 부분이 딱 치료한 부위네요 약간 중합이 고르게 되지 않은 부분이 떨어졌을 수 있습니다 한지 얼마 안됐다면 좀 보충해달라고 하셔도 되겠습니다

    아니면 지금 그 장치 모양에 맞게 떼워준 것일 수도 있습니다

  • 안녕하세요. 송우식 치과의사입니다.

    가철성 확장장치를 끼웠다 뺐다 하면서 과도한 힘이 가해지면 레진 일부가 떨어질 가능성도 있습니다. 현재 다소 가능성이 있어보이기에 보다 정확한 확인을 위해 치과 진료를 받아보길 권합니다.

    확장장치가 치료 부위에 과도한 힘을 가하는지 확인하고, 필요하면 장치 조정을 권합니다.

    만족스러운 답변되셨으면 합니다.

    평가 감사합니다