아하
  • 토픽

  • 스파링

  • 잉크

  • 미션


의료상담

날씬한다향제비153

날씬한다향제비153

24.05.11

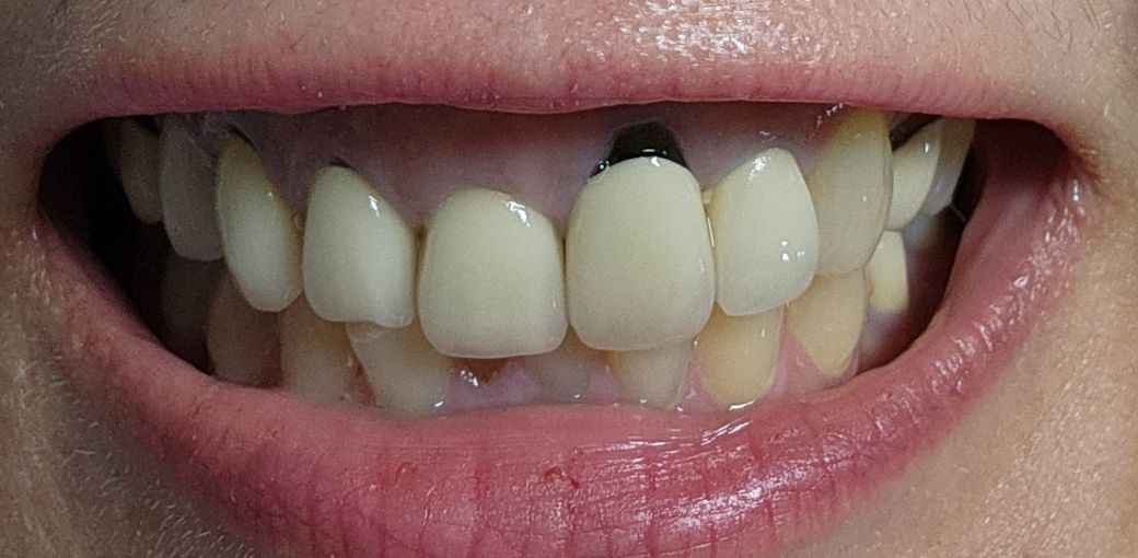
인공치아 잇몸이 올라가서 미관상 문제

15년전 한 인공치아 잇몸이 올라가서 금속이 다보여서 미관상 문제기 있어요

인공치아를 다시 해넣긴 부담스러운데 검은 부분을 컴플라치할 방법이 있을까요? 레진이나 스티커 등 모든 가능한 방법이 궁금해요

  • 1번 째 사진

3개의 답변이 있어요!

  • 안상우 치과의사

    안상우 치과의사

    목동안치과의원

    24.05.13

    고철 치료를 하고 나선 해당 부위에 잇몸이 내려가게 되면서 심미적으로 신경이 쓰일수 있습니다. 이런 경우에는 그래서 보철물을 새로 제작을 해준다면 해당 부위에 부자연스러움을 해결할 수 있습니다. 자세한 확인을 위해서 치과에서 진료를 받아보는 것을 권유드립니다

  • 안녕하세요 치과의사 김철진입니다. 일단 엑스레이 사진을 찍어 보시는게 좋을것같습니다. 저상태라면 보철물을 제거하고 다시 보철물 치료를 하거나 임플란트 치료를 하셔야될 가능성이 높아 보입니다.

  • 잇몸이 퇴축되어 그렇습니다 보철물에 뭔가 덧대는 것은 크게 의미가 없습니다 금방 떨어질 것입니다 잇몸높이에 맞춰 보철물을 새로 하는것을 추천드립니다