아하
  • 토픽

  • 스파링

  • 잉크

  • 미션


의료상담

굉장한호박벌35

굉장한호박벌35

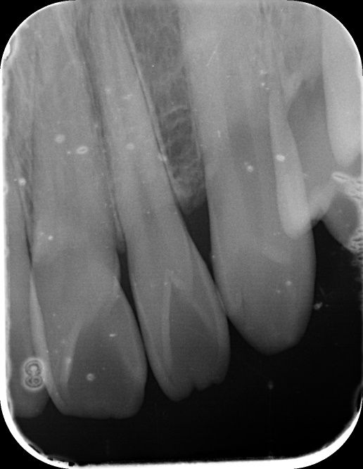
앞니에 인접면 충치가 있나요?

안녕하세요! 최근에 건강보험검진을 받으러가서 앞니 사이에 충치가 의심된다구 찍은 사진입니다.

궁금한점이 많아 질문 드립니다!

1. 앞니에 충치가 있는건가요? (앞니 12, 11, 21, 22번 사이가 의심된다구 하셨습니다.)
2. 충치가 있다면 어디에 있는건가요? (치아번호로 말씀해주시면 감사하겠습니다!)
3. 치료를 받을정도의 충치인가요? 아니면 앞으로 관리를 통해 지켜보는게 좋을까요?

  • 1번 째 사진
  • 2번 째 사진
  • 3번 째 사진
  • 4번 째 사진

1개의 답변이 있어요!

  • 김철진 치과의사

    김철진 치과의사

    가까운우리치과

    안녕하세요. 김철진 치과의사입니다.

    엑스레이 사진상으로 보면 치아 사이에 작은 충치가 잇는것처럼 보이긴합니다. #11 12 사이 21 22사이는 사진상으로 보이는데 #11 21 사이는 사진상에 겹쳐보여 직접봐야 알수 잇을것같습니다.