아하
  • 토픽

  • 스파링

  • 잉크

  • 미션


의료상담

빼어난느시8

빼어난느시8

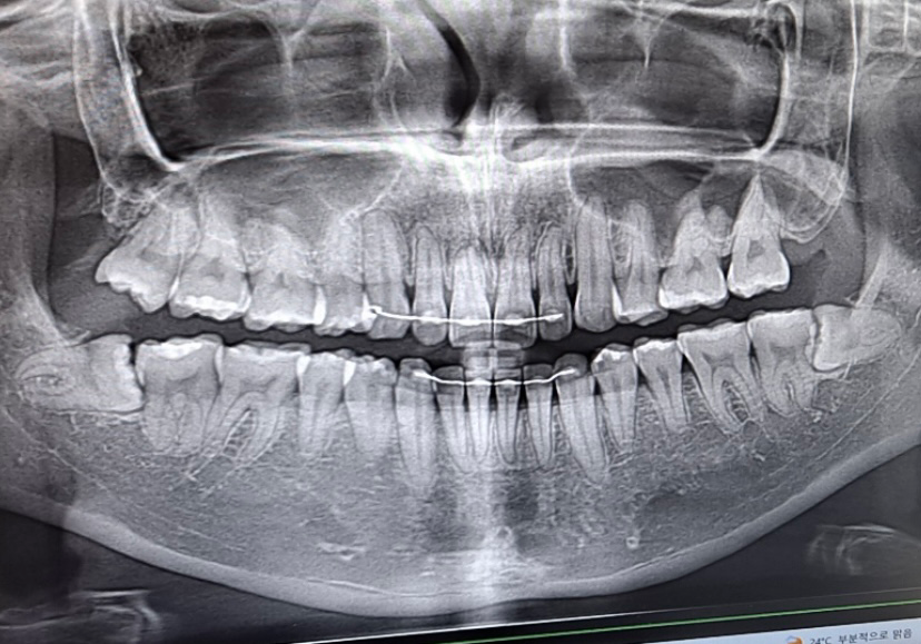
충치로 보이는 치아가 몇 개 정도 있을까요?

저번주 치과가서 엑스레이를 찍었습니다.

분명 씹는면에 갈색?검은색?줄이 있어 충치인것 같은데 치과에서는 크게 치료하라는 말이 없네요.

혹시 이 엑스레이에서 충치로 의심되는 치아가 몇 개인지 알 수 있을까요?



윗니 1~13

아랫니 14~29(매복사랑니 포함)

혹시 보이신다면 번호로 얘기해주시면 감사하겠습니다ㅠㅠ

  • 1번 째 사진

3개의 답변이 있어요!

  • 안상우 치과의사

    안상우 치과의사

    목동안치과의원

    안녕하세요. 안상우 치과의사입니다.

    파노라마 사진으로는 심한 충치가 보이지는 않습니다.

    치아 홈에 생긴 충치는 엑스레이에는 보이지 않고 육안상으로만 보이는 경우가 있어요.


  • 안녕하세요. 김철진 치과의사입니다.

    엑스레이 상으로는 크게 충치가 진행되건 없어 보입니다. 보이는 갈색은 변색이나 착색됫을 가능성이 높습니다.

  • 안녕하세요. 최석민 치과의사입니다.

    씹는면 충치는 방사선 사진, 특히 파노라마 방사선 사진으로는 관찰이 어렵습니다

    검은 줄이나 점은 초기 충치인 경우가 많으며 상태로 봐서 크게 치료가 필요하지 않다고 판단했기 때문에 그렇게 말씀하신 것일 겁니다

    양치질만 잘하고 6개월에 한번씩 정기검진만 하시면 될 것 같습니다

    추가적으로 확인이 필요한 치아는 아래쪽 사랑니 앞 두번째 큰 어금니 2개와 우측 첫번째 큰 어금니 입니다.