의료상담

두경부 초음파 검사를 했습니다. 판독 부탁드려요

성별

남성

나이대

47

기저질환

고지혈, 뇌하수체선종, 역류성식도염

복용중인 약

고지혈약, 고혈압약, 식도염약

턱뼈안쪽의 침샘 부분과 임파선 부분에 약간의 통증이 있어서, 두경부 초음파 검사를 했습니다.

침샘은 약간 크지만? 문제없다. 라고 하셨고

임파선도 아주 양호 하다고 하셨어요.

갑상선과 경동맥도 함게 부탁드렸는데, 경황이 없어서? 그부분은 대답을 듣질 못하고 왔네요;

실비 청구하면서 혹시나 해서 CD 받아와서 열어봤는데, 일반인 잘 알수는 없어서 문의 드리고자 글 드려봅니다.

  1. 판독부탁드립니다.

2. 침샘/임프절/갑상선/경동맥...........4가지다 검사가된건지요

미리 감사드립니다.

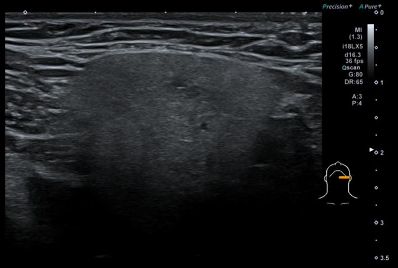
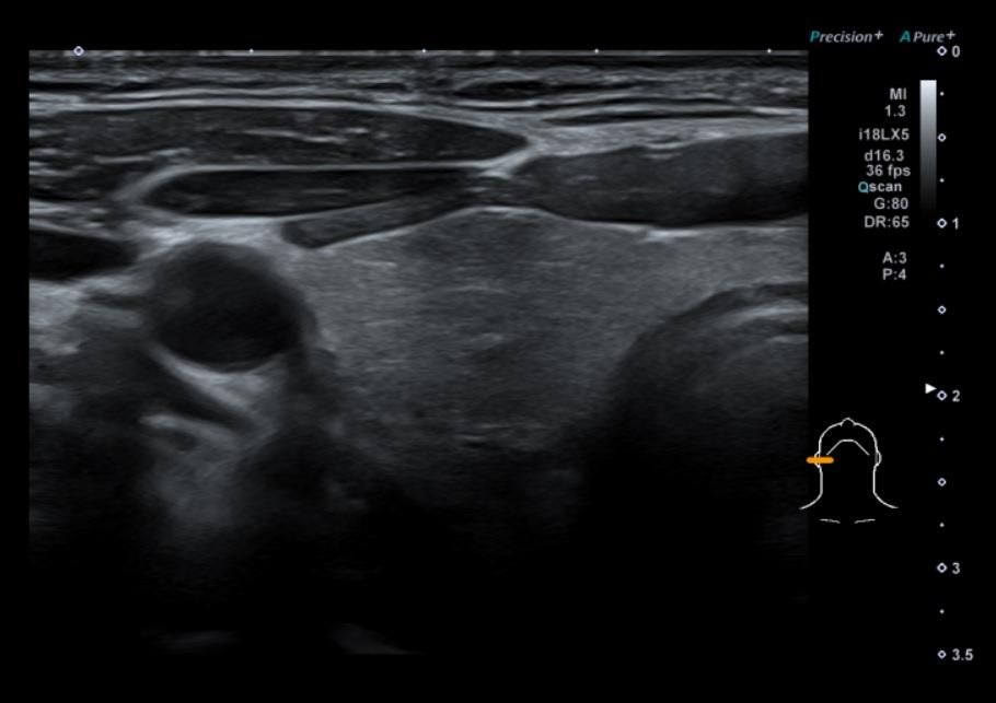
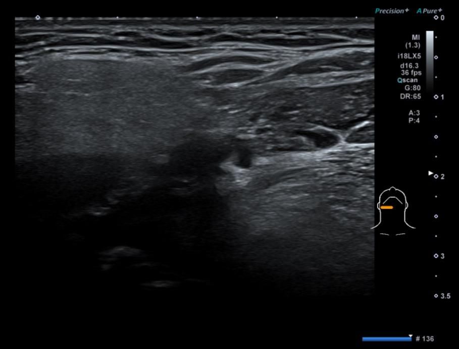
  • 1번 째 사진
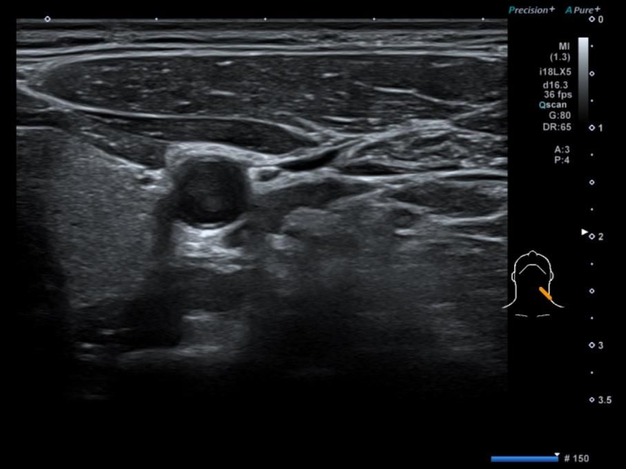
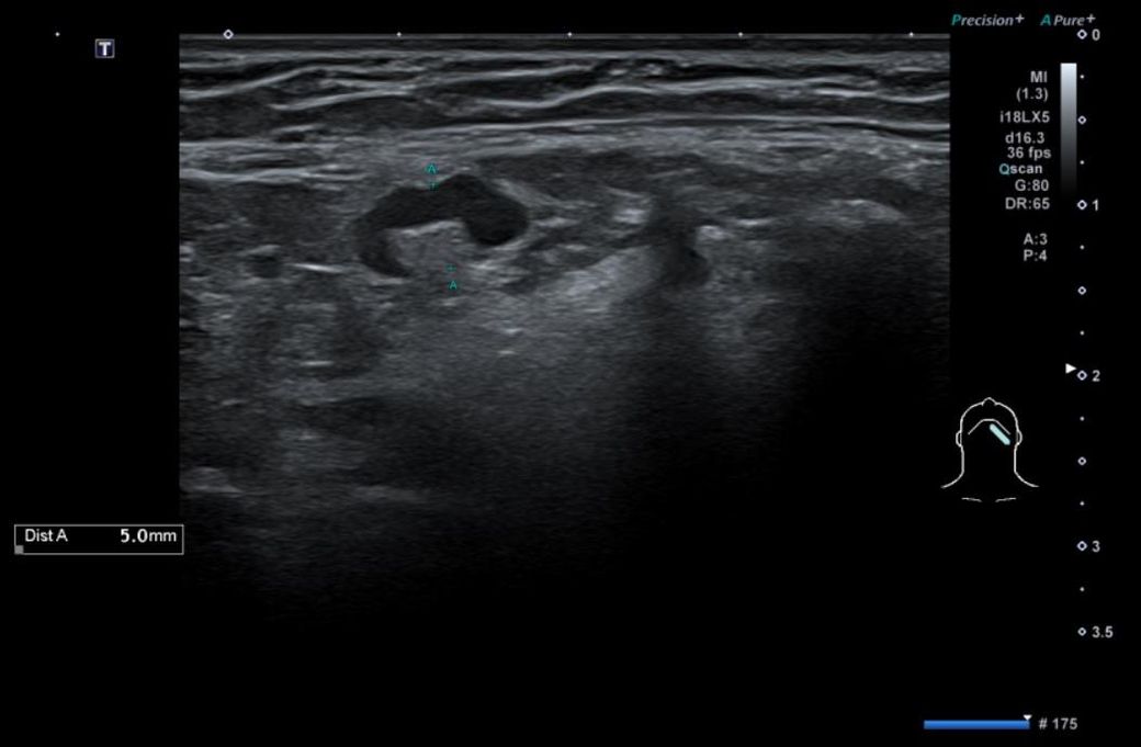
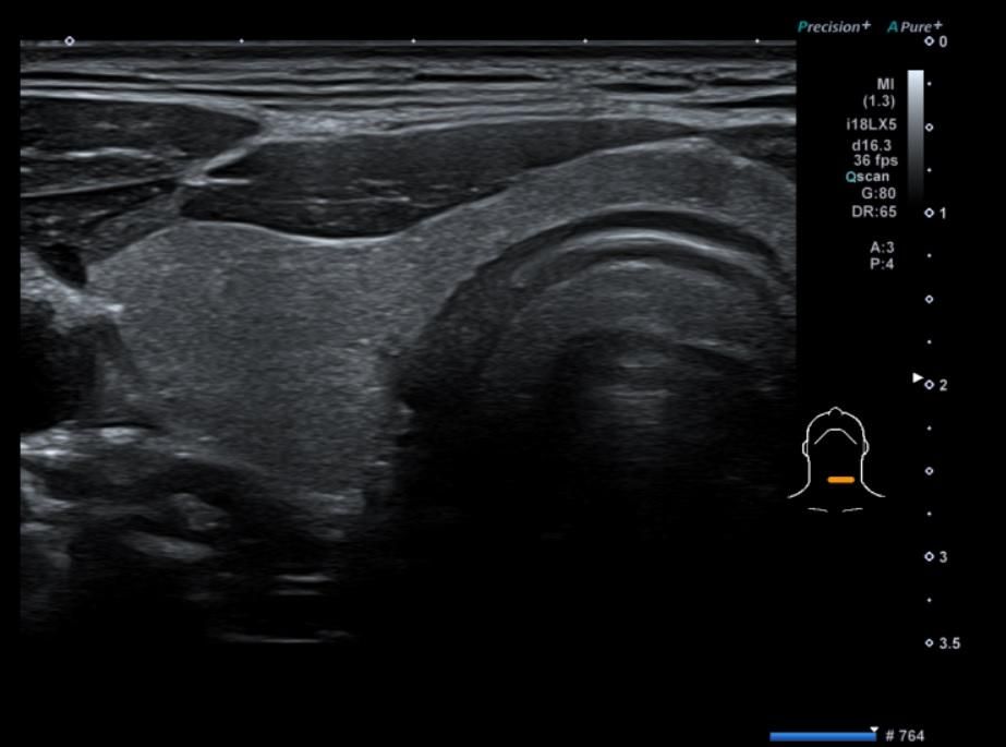
  • 2번 째 사진
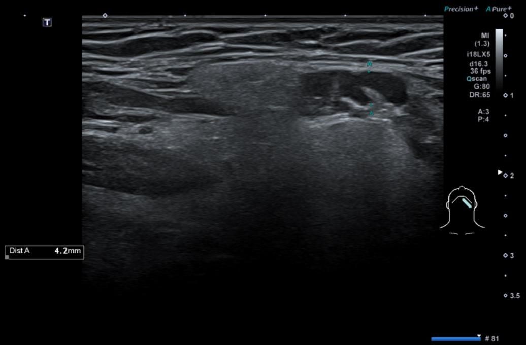
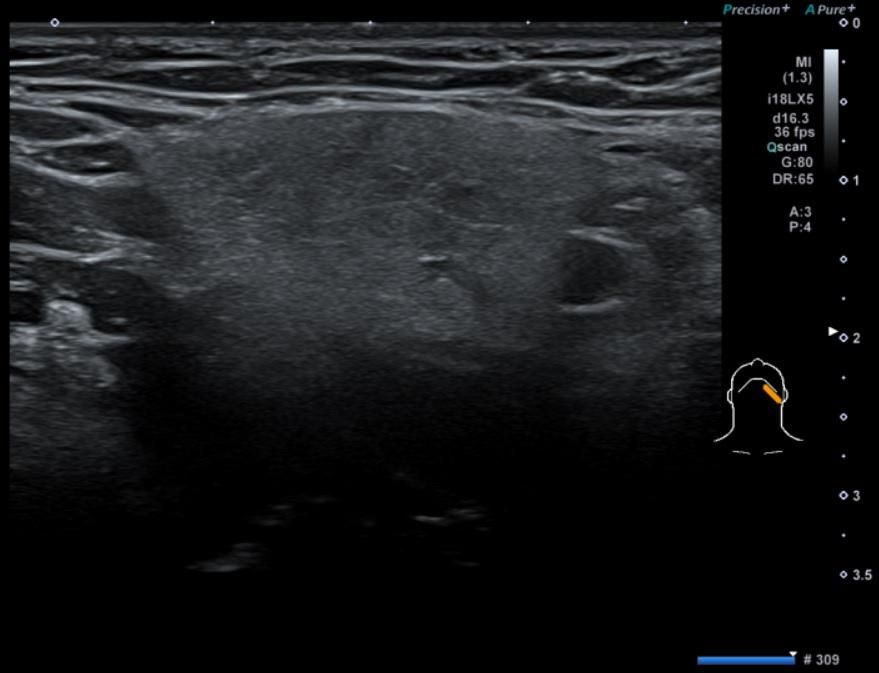
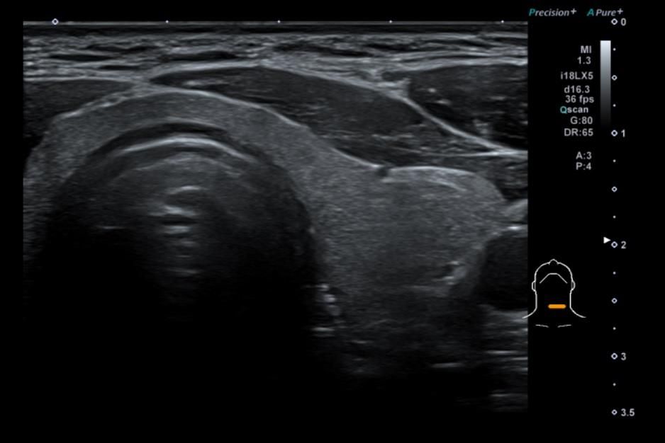
  • 3번 째 사진
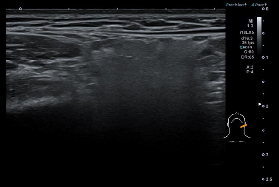
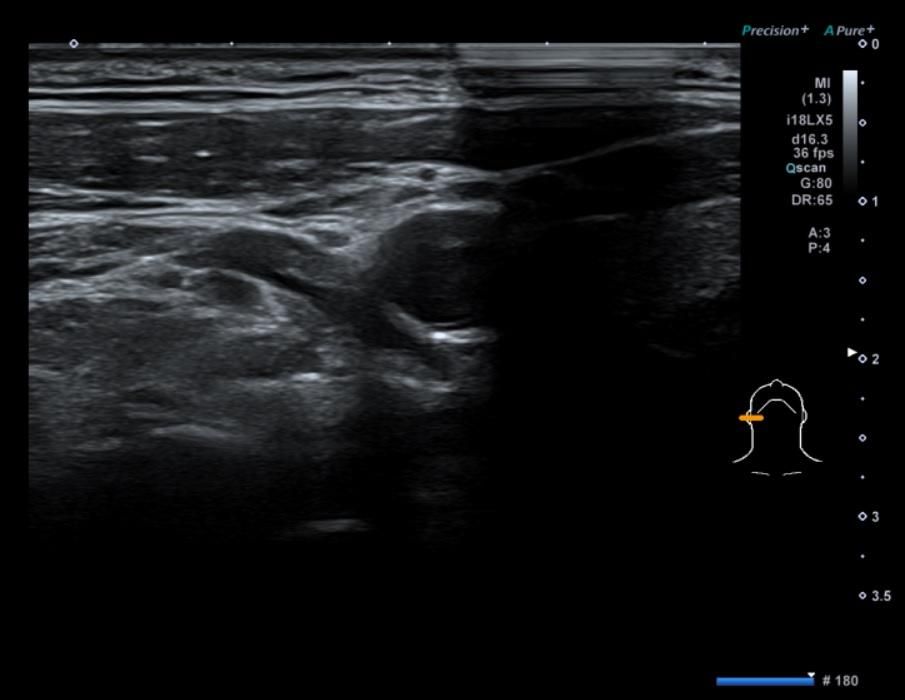
  • 4번 째 사진
  • 5번 째 사진
  • 6번 째 사진
  • 7번 째 사진
  • 8번 째 사진
  • 9번 째 사진
  • 10번 째 사진
  • 11번 째 사진
  • 12번 째 사진
  • 13번 째 사진
  • 14번 째 사진
  • 15번 째 사진
  • 16번 째 사진
  • 17번 째 사진

아직 답변이 없어요.