아하
  • 토픽

  • 스파링

  • 잉크

  • 미션


의료상담

그윽한검은꼬리98

그윽한검은꼬리98

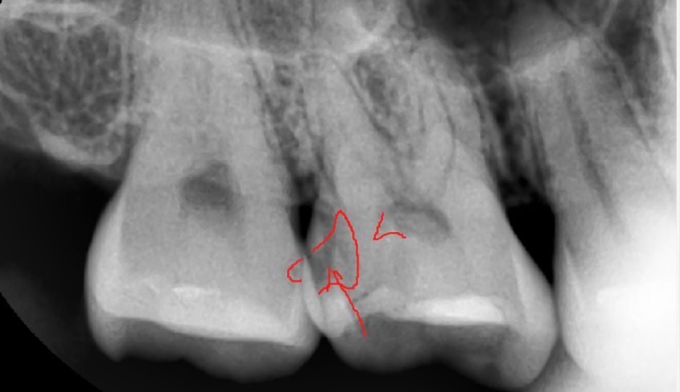
인접면 충치치료 하다가 신경관이 살짝 보인다면 신경치료해야하나요?

오늘 인접면 충치치료 받았는데, 충치가 깊다하시면서 신경치료로 한다하셔서 받았거든요...

인터넷 찾아보니까 저보다 심한 충치있으신 분들도 무슨 신경 보호약제 써서 신경치료 안하시고 충치치료하시던데

오늘 신경치료 받은 치아는 평소 통증도 없었고 잘만 쓰던 치아라 괜히 과잉진료 받은 건가하고 속상하네요...

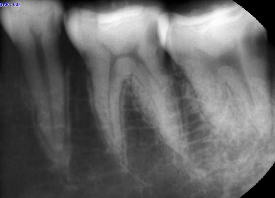
앞으로 어금니 두개 더 신경치료 해야한다 하시는데 아직 20대이고 통증도 없는데 신경치료 꼭 해야하는건지 궁금합니다

사진은 오늘 제가 신경치료 받은 치아입니다...

이 사진은 맨끝 어금니 빼고 신경치료 해야된다던 치아 입니다ㅜㅜ

  • 1번 째 사진
  • 2번 째 사진

3개의 답변이 있어요!

  • 탈퇴한 사용자

    탈퇴한 사용자

    안녕하세요. 장인아 치과위생사입니다.

    신경관이 보인다면 인레이를 해도 예후가 안좋을수 있으니 신경치료가 유리할수 있을것 같습니다.

    도움이 되기를 바랍니다. 건강하세요.


  • 안녕하세요. 김철진 치과의사입니다.

    충치가 깊어 보이긴하지만, 저라면 일단 조심히 제거를 해보고 신경이 노출되지 않으면 인레이 신경이 노출되면 어쩔수 없이 신경치료를 할것같습니다.

  • 안녕하세요. 김지훈 치과의사입니다.

    신경관이 비친다면 신경치료를 하셔야 하는 것이 맞습니다. 평소 치아 관리를 조금 더 열심히 해주셔야 겠습니다.