의료상담
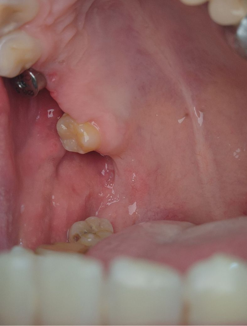
잇몸 빨간 상처 임플란트 염증 일까요~?
8월8일부터 잇몸이 아팠습니다.
처음에는 구내염인가 싶어 지켜봤는데 잇몸에 구멍과 더불어 8월14일부터 양치질을 쎄게 한건지 빨간게 생겨서 이렇게 여쭈어봅니다.
왜이런게 생기는지 위험한건지 고견 여쭈어봅니다.
55글자 더 채워주세요.
4개의 답변이 있어요!
안녕하세요. 김지훈 치과의사입니다.
임플란트 염증은 음주나 흡연, 면역력 결핍 등에 의해 생깁니다. 바로 치과를 가보시는게 좋겠습니다.
안녕하세요. 송우식 치과의사입니다.
임플란트식립 부위 잇몸에 염증이 생긴것으로 보입니다. 원인은 치석이 쌓여 잇몸을 자극하였을 가능성도 있으며, 방치시에 잇몸염증이 악화되어 임플란트 식립에도 문제를 주기에 빠른 시일내에 치과 치료가 필요로 됩니다.
궁금증 해소에 도움이 되시길 바라며, 도움이 되신 경우 ‘추천’ 부탁드립니다. 감사합니다.
안녕하세요. 김철진 치과의사입니다.
임플란트 심으신데 염증이 생겨서 잇몸이 많이 내려간거 같은데 치과에 가셔서 검진을 받아보시는게 좋을것같습니다.
안녕하세요. 안상우 치과의사입니다.
잇몸에는 붉은색을 띠는 부분이 있습니다.
임플란트 주변에도 경미한 염증이 보이는듯해 보여요.
사진으로만 판단하기에는 염증의 여부를 정확하게 알기 어렵습니다.
정확한 확인을 위하여 치과에서 자세한 진료를 받아보시길 권장 드립니다.

