아핫뉴스실시간 인기검색어
아핫뉴스 화산 이미지
화산 아이콘 11
장동혁 8일 단식 종료
아하

의료상담

치과

냉엄한박새220
냉엄한박새220

아랫니 아치 무너진거 크라운으로 치아 길이 넓여 복구 유도 또는 부분교정으로 복구 가능할까요?

이전에 10년 전 교정기 뺀 이후 오징어 먹다가 아랫니 중앙에서 바로 옆 이가 삐뚤어져서 툭 튀어 나왔어요ㅜ

그대로 방치했더니 점점 아랫니 아치가 무너지기 시작하고 십년이 지낫습니다ㅜ

미용 목적보다 교합을 유지하면서 (현재 사진처럼 좌측 위아래 교합 시 우측보다 공간이 살짝 있습니다), 아래 아랫니 아치를 복구하고 싶습니다.

질의 드립니다. 고견 부탁드립니다.

1.아랫니 아치 무너진거를 치아 부분 교정 또는 크라운으로 치아 길이 넓여서 아치 복구 또는 복구 유도로 치료 진행이 가능한 방법이 있을까요?

2.어떤 치료 방식으로 어느 치아 부위를 건드려야 할까요?

3.짧은 시간 치료를 원해서 치료 기간도 대략이나마 궁금합니다.

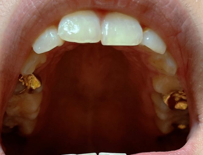
사진1. 좌측 교합

사진2. 우측 교합

사진3 . 아랫니 아치

사진4. 윗니 아치 (사진이 살짝 좌측에서 찍혔으나 아치는 살아있습니다. 이전 교정 시 윗니 양쪽에 각 1개씩 발치했습니다).

  • 1번 째 사진
  • 2번 째 사진
  • 3번 째 사진
  • 4번 째 사진
3개의 답변이 있어요!
  • 안녕하세요. 정진석 치과의사입니다.

    1.2.3. 해당 사진만으로는 정확한 판단이 어렵습니다. 공간이나 상하악 관계에 대한 계측 평가가 필요합니다. 말씀하신 사진으로는 판단이 어려우며 교정 치과 방문 후 방사선 사진 및 임상사진 그리고 Ceph.사진 등이 복합적으로 분석을 해야 합니다. 현재 입 상태에서는 아마 발치교정을 할 가능성이 크나 구강 내 치아의 움직임에 따라 교정 기간은 다를 수 있습니다.

    아무쪼록 저의 답변이 문제 해결에 작게 나마 도움이 될 수 있기를 기원드립니다. 항상 건강하고, 행복하세요^^

    정진석 치과의사 드림

  • 안녕하세요. 김철진 치과의사/경제·금융전문가입니다.

    1.아랫니 아치 무너진거를 치아 부분 교정 또는 크라운으로 치아 길이 넓여서 아치 복구 또는 복구 유도로 치료 진행이 가능한 방법이 있을까요?

    -교정은 교정진단을 해보셔야될것같습니다. 만약 크라운으로 하신다면 최소 치아 4개를 크라운 치료를 하셔서 고르게 하셔야될것같습니다.

    2.어떤 치료 방식으로 어느 치아 부위를 건드려야 할까요?

    -환자분의 선택입니다. 시간적인 여유가 잇다면 교정을 통해서 하시고, 그게 아니라면 신경치료후 크라운 치료를 하시는게 그나마 치료시간을 줄이는 방법입니다.

    3.짧은 시간 치료를 원해서 치료 기간도 대략이나마 궁금합니다.

    -교정이라면 최소 6개월 이상, 크라운으로 하신다면 한달~길게는 두달정도 걸릴것같습니다.

  • 안녕하세요. 안상우 치과의사/경제·금융전문가입니다.

    사진으로 보이는 교합이 치아가 최대로 교합된 상태라면 전체적인 교정치료가 필요할수 있습니다.

    교합을 새로 형성해줘야 하는 교정은 광범위한 치아의 이동이 필요하기 때문에 2~3년정도의 시간이 소요 될수 있습니다.

    자세한 확인을 위해서 치과병원에서 검사를 받아 보시기를 권유드립니다.