아핫뉴스실시간 인기검색어
아핫뉴스 화산 이미지
화산 아이콘 11
지상렬 신보람 결혼 계획
아하

의료상담

성형외과

냉엄한박새220
냉엄한박새220

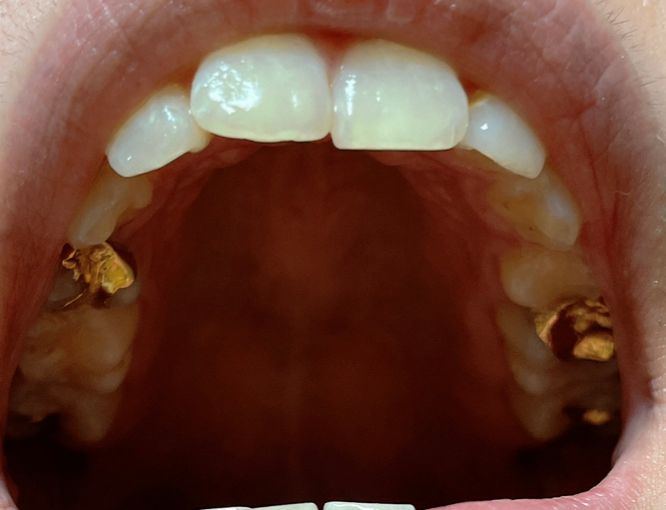
아랫니 아치 무너진거 치아 부분 교정 또는 크라운으로 치아 길이 넓여서 복구될까요?

성별
여성
나이대
33
기저질환
복용중인 약

이전에 교정하고 이후 오징어 먹다가 아랫니 중앙에서 바로 옆 이가 삐뚤어져서 툭 튀어 나왔어요ㅜ

그대로 방치했더니 아랫니 아치가 무너지기 시작하고 십년이 지낫습니다ㅜ

미용 목적보다 교합 유지하면서 아랫니 아치를 복구하고 싶은데요

아랫니 아치 무너진거 치아 부분 교정 또는 크라운으로 치아 길이 넓여서 복구될까요?

  • 1번 째 사진
  • 2번 째 사진
  • 3번 째 사진
  • 4번 째 사진
1개의 답변이 있어요!
  • 안녕하세요. 남희성 의사입니다.

    해당하는 질문의 내용은 의료 카테고리 보다는 치과 전문의 선생님의 소견을 들어보기 위해 치과 카테고리에 질문을 올리시는게 더 적절하다고 생각됩니다.