의료상담
55글자 더 채워주세요.
3개의 답변이 있어요!
안녕하세요. 김철진 치과의사/경제·금융전문가입니다.
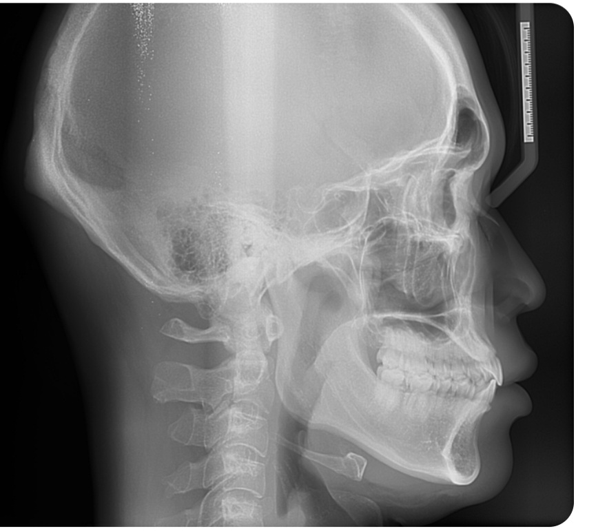
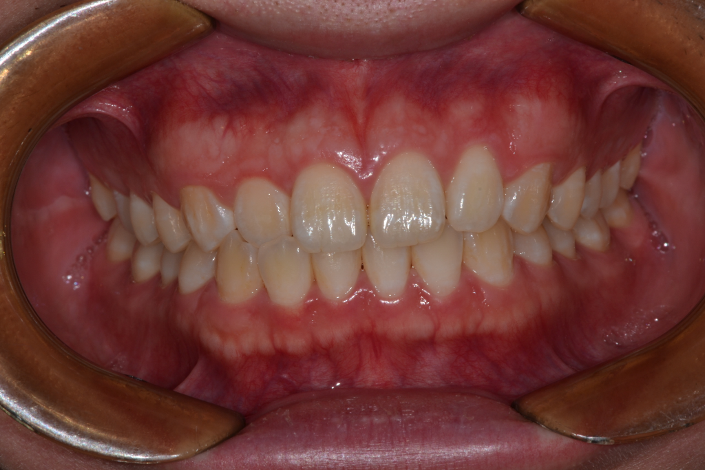
사진상으로는 크게 문제가 없어 보입니다. 구호흡이 문제시라면 대학병원 구강내과를 먼저 방문하셔서 검진을 받아보세요.
안녕하세요. 정진석 치과의사입니다.
잘때 입을 벌리고 자는 것은 정상적인 생리 반응 중 하나입니다. 교정 중에 특히 입이 불편하면 나타날 수 있으나 호흡기 관련 문제로도 나타날 수 있으니 이비인후과 방문해보시길 바랍니다.
아무쪼록 저의 답변이 문제 해결에 작게 나마 도움이 될 수 있기를 기원드립니다. 항상 건강하고, 행복하세요^^
정진석 치과의사 드림
안녕하세요. 장인아 치과위생사입니다.
구호흡의 원인은 코의 문제로 인한 경우가 많습니다.
돌출입과 부정교합으로 인해
입이 벌어지게 되면 구호흡을하는 경우도 있습니다.
치과방문해서 확인하면 좋을것 같습니다.
도움이 되기를 바랍니다. 건강하세요.

