아핫뉴스실시간 인기검색어
아핫뉴스 화산 이미지
화산 아이콘 11
미소 짓는 류지현 감독
많이 본
아하

의료상담

치과

모던한양63
모던한양63

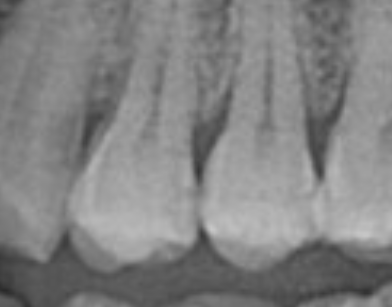
인레이 했는데 이거 과잉진료 당한걸까요?

해당 치아 부분 인접면 충치있다고 두군데 세라믹 인레이 하였습니다.
근데 오늘 강창용 치과 유튜브 봐보니 또 인접면 충치라고 꼭 인레이해야하는게 아니라고도 하네요;;
사실 통증도 전혀 없었어서 긴가민가해서 다른 치과도 한군데 더 갔는데 거기도 인레이 하라고 하긴했습니다.
근데 그 치료받은 치과랑 다른 한 군데 간 치과 모두 강남에 있는 치과라서 조금 긴가민가 싶습니다.
(저도 나중에 알았는데 강남에 있는 치과가 좀.....이미지가 안좋다고 하더라구여.)
지금 괜히 멀쩡한 치아 조져놓은거 같아서 괜히 마음이 너무 안좋습니다.
돈이 문제가 아니라 멀쩡한 치아 수명만 줄여놓은 거 같아서여......

  • 1번 째 사진
4개의 답변이 있어요!
  • 안녕하세요. 정진석 치과의사입니다.

    일단 강xx 선생님의 개인 의견이 전체의 치과 의견을 대변하지 않습니다. 현재 사진으로는 충치 부위가 확실합니다. 다만 인접면이라면 부위는 다른 충치와 다른 점이 있습니다. 해당 부위로 바로 기구를 집어넣을 수 있는 방법이 전혀 없으며 위에서부터 해당 부위를 깍으면서 들어가야 합니다. 즉 치질 손상이 많을 수 밖에 없으며 대부분 인접면은 간단한 레진 등으로 수복할 수 있으나 수복 이후 시린 증상이 있어 대부분 치과에서 인레이를 많이 합니다.

    즉 과잉 진료는 아니며 해당 부위에 아직까지 큰 통증이 없더라도 시간이 지나 신경까지 침범한다면 신경치료까지 이어질 수 있는 상황으로 보여집니다.

    아무쪼록 저의 답변이 문제 해결에 작게 나마 도움이 될 수 있기를 기원드립니다. 항상 건강하고, 행복하세요^^

    정진석 치과의사 드림

  • 안녕하세요. 김철진 치과의사입니다.

    인접면에 충치가 있다면 일반적으로 인레이치료를 하게 됩니다. 치과의사마다 생각이 다르기 때문에 레진으로 하시는 분들도 계시고 인레이를 하는 선생님도 계십니다. 저도 저정도 우식이면 인레이치료를 할것같습니다.

  • 안녕하세요. 안상우 치과의사입니다.

    사진으로 봤을 경우에는 인접면에 충치가 있어보입니다. 범위가 어느정도인지는 육안으로 확인하지 않는한 정확하게 알수는 없어요.

    잘 수복된 인레이보철물은 치아의 수명에 큰 영향을 미치지 않으며 충치가 진행되는것을 방지하기 때문에 삭제량을 최소로 하면서 치아의 수명을 오히려 더 증가 시킬수 있습니다.

  • 탈퇴한 사용자
    탈퇴한 사용자

    안녕하세요. 장인아 치과위생사입니다.

    레진은 재료의 특성상 온도변화가 많은 구강내에서 수축과 팽창이 반복되면서 치아와의 틈이 발생합니다.

    강도가 약해 탈락하기 쉽고 치료의 한계가 있으며 인접면의 치료는 어려울수 있습니다.

    도움이 되기를 바랍니다. 건강하세요