아핫뉴스실시간 인기검색어
아핫뉴스 화산 이미지
아하

의료상담

내과

탈퇴한 사용자
탈퇴한 사용자

담낭염일 까요?? (CT 사진 있어요)

성별
남성
나이대
41
기저질환
없음
복용중인 약
없음

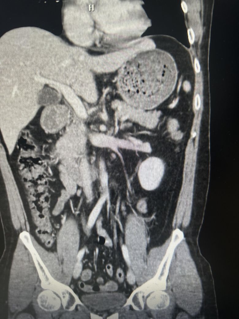
우상복부 통증(좌상복부 통증도 생김), 오른쪽 어깨에서 허리까지통증, 소화불량, 팽만감,답답함, 설사 증상이 있는데..... 담낭염이 맞을까요?

  • 1번 째 사진
  • 2번 째 사진
  • 3번 째 사진
  • 4번 째 사진
  • 5번 째 사진
  • 6번 째 사진
  • 7번 째 사진
  • 8번 째 사진
3개의 답변이 있어요!
  • 안녕하세요. 채홍석 가정의학과 전문의입니다.

    업로드해주신 증상의 설명과 자료는 잘 보았습니다

    급성담낭염은 고열, 극심한 통증이 주된 증상입니다.

    CT에서 담낭염은 담낭벽이 두꺼워보이고 벽이 조영증강되는데

    환자분 자료의 경우 그런 소견이 뚜렷하게 보이지는 않는 것 같습니다.

    1명 평가
  • 애매합니다. 담낭의 크기가 다소 늘어나 보이긴 합니다만, 당남염을 강력하게 의심할만한 다른 소견들이 보이지는 않습니다. 가령 담낭의 벽이 두꺼워지거나 담낭 주변의 염증 소견, 담낭 목을 막고 있는 담석 등이 따로 관찰되거나 하지는 않기 때문에 담낭염을 강력하게 의심하기는 어려워 보입니다. 우상복부의 압통 및 머피징후 등의 신체검진 소견이 있다면 담낭염의 가능성을 고려해볼 수 있겠습니다만, 해당 CT 소견만으로는 판단하기 어렵습니다.

    1명 평가
  • 안녕하세요. 배병제 외과 전문의입니다.

    첨부해주신 CT 영상에는 담낭 주변에 두드러지는 염증소견이 관찰되지 않습니다. 다만 영상의 모든 단면을 확인한 것이 아니라서 담석증의 여부에 대해서는 확답드릴 수 없습니다. 증상이 지속되면 내과에서 진료를 받아보시는 것을 권해드립니다.