아하
  • 토픽

  • 스파링

  • 잉크

  • 미션


의료상담

창문틀

창문틀

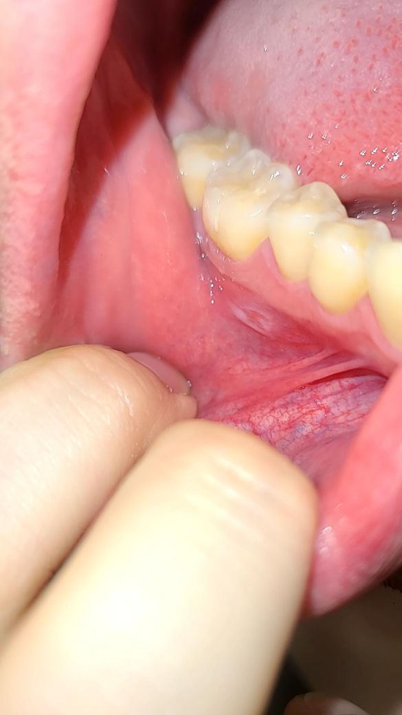
구내염 인지 뭔가가 좀 오래지속되는데요 구강암인가요

불편한지는 4주 정도 되었는데요

불편한지 2주쯤에 집근처 1차병원 구강외과 전공하셨던분

병원가서 진단받았을때 아무것도 안보인다고 하셨거든요

그후에 1주정도는 불편하기는 하지만 그정도가 좀 덜했는데

1주 더지나서 오늘 보니까 하얀게 보이네요

불편한건 더 심해졌어요

이게 암일까요 뭐때문에 이런걸까요

요근래 스트레스도많이받고 잠도 거의 못자긴했는데 살면서 처음이네요

  • 1번 째 사진
  • 2번 째 사진
  • 3번 째 사진

1개의 답변이 있어요!

  • 최석민 치과의사

    최석민 치과의사

    강원도 원주의료원

    안녕하세요. 최석민 치과의사입니다.

    악성병소보다는 구내염에 가까운 것으로 사진상 보이는데요

    오라메디 적용해보시고 호전되지 않으면 구강내과 가보세요