의료상담
55글자 더 채워주세요.
5개의 답변이 있어요!
안녕하세요. 정진석 치과의사입니다.
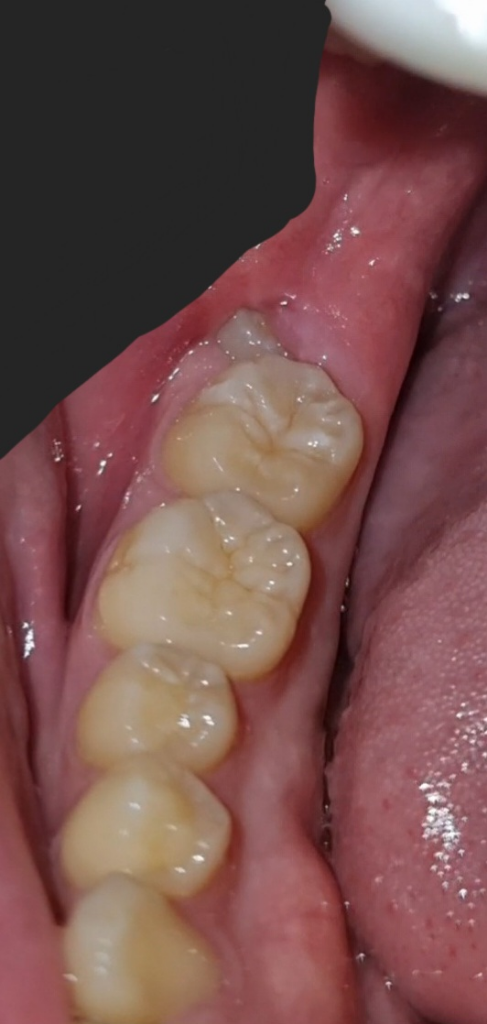
1. 올라올 가능성이 있습니다.
2. 현재 사진으로는 정확히 판단하기 어려우며, 방사선 사진 등의 촬영을 해보아야 합니다.
아무쪼록 저의 답변이 문제 해결에 작게 나마 도움이 될 수 있기를 기원드립니다. 항상 건강하고, 행복하세요^^
정진석 치과의사 드림
안녕하세요. 송우식 치과의사입니다.
사랑니 방향 및 현재 올라온 정도 확인을 위해서는 엑스레이 촬영이 필요로 됩니다. 따라서 치과에 방문하여 엑스레이 촬영을 하고 발치여부를 결정하길 권합니다.
궁금증 해소에 도움이 되시길 바라며, 도움이 되신 경우 ‘추천’ 부탁드립니다. 감사합니다.
안녕하세요. 안상우 치과의사입니다.
사진으로만 봤을 경우에 치아의 교합면이 보이는 걸로 보여 치아가 똑바로 나고 있는 것처럼 보입니다 하지만 정확한 확인을 위해선 방사선 사진이 필요합니다 자세한 확인을 위해서 치과에서 진료를 받아 보세요
안녕하세요. 최석민 치과의사입니다.
보이는 건 사랑니 윗면이나 약간 비스듬하게 누워 옆 어금니에 걸려 있는 것 같습니다
보다 정확한 건 치과에서 방사선 사진을 찍어보면 알 수 있습니다
사랑니는 보통 옆에 어금니에 걸리지 않는다면 맹출을 하며, 20대 중반까지도 맹출력이 있습니다.
안녕하세요. 김철진 치과의사입니다.
엑스레이로 확인을 해봐야될것같습니다. 성인이시라면 치아가 더 맹출되진 않을꺼에요. 사진으로 보면 사랑니는 똑바로 있는상태 같습니다.

