아하
  • 토픽

  • 스파링

  • 잉크

  • 미션


의료상담

빨간상괭이131

빨간상괭이131

입 천장에 염증 같은 게 생겼는데 뭔지 알 수 있을까요?

성별

여성

나이대

52

기저질환

없음

복용중인 약

없음

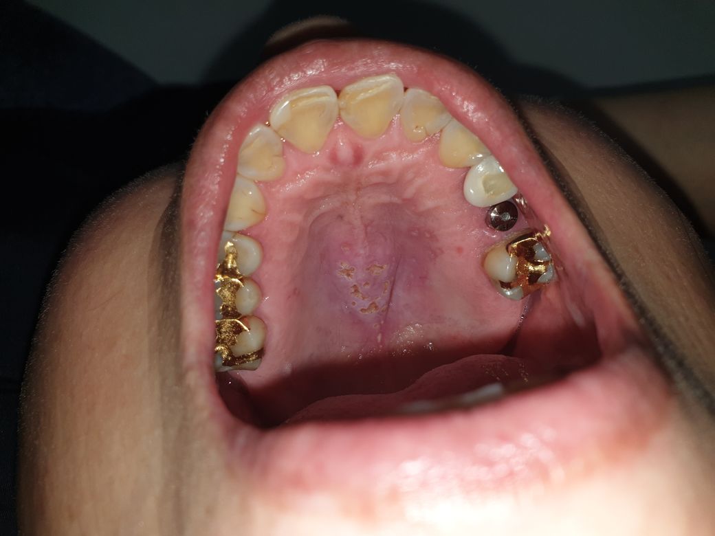
어머니께서 갑자기 입 천장이 좀 튀어나온 거 같다고 하셔서 자세히 보니

첨부된 사진 처럼 염증? 살이 패여있더라고요.

여쭤보니 2~3일 전 죽 끓이면서 입 천장을 데였는데 그 이후로 제대로 못쉬어서 이러는 게 아닐까 하시는데

혹시 무슨 증상인지 알 수 있을까요?

구내염 같이 큰 문제 없는 거라면 알보칠 바르고 잘 쉬면 나을까요?

  • 1번 째 사진
  • 2번 째 사진

1개의 답변이 있어요!

  • 염진희 의사

    염진희 의사

    인하대병원

    안녕하세요. aha 의료 전문가입니다.

    데인 후 구내염이 생겼을 가능성이 있어보입니다.

    면역력이 약해진 경우 점막세포가 손상되었을 때 세균의 침입이 용이하게 되어 구내염이 더 잘 발생할 수 있습니다.

    충분한 휴식과 스트레스 관리, 비타민과 무기질을 포함한 균형잡힌 식단, 금연, 금주, 구강 청결관리를 해주는 것이 도움이 되겠습니다.