아하
  • 토픽

  • 스파링

  • 잉크

  • 미션


의료상담

잘난날쥐284

잘난날쥐284

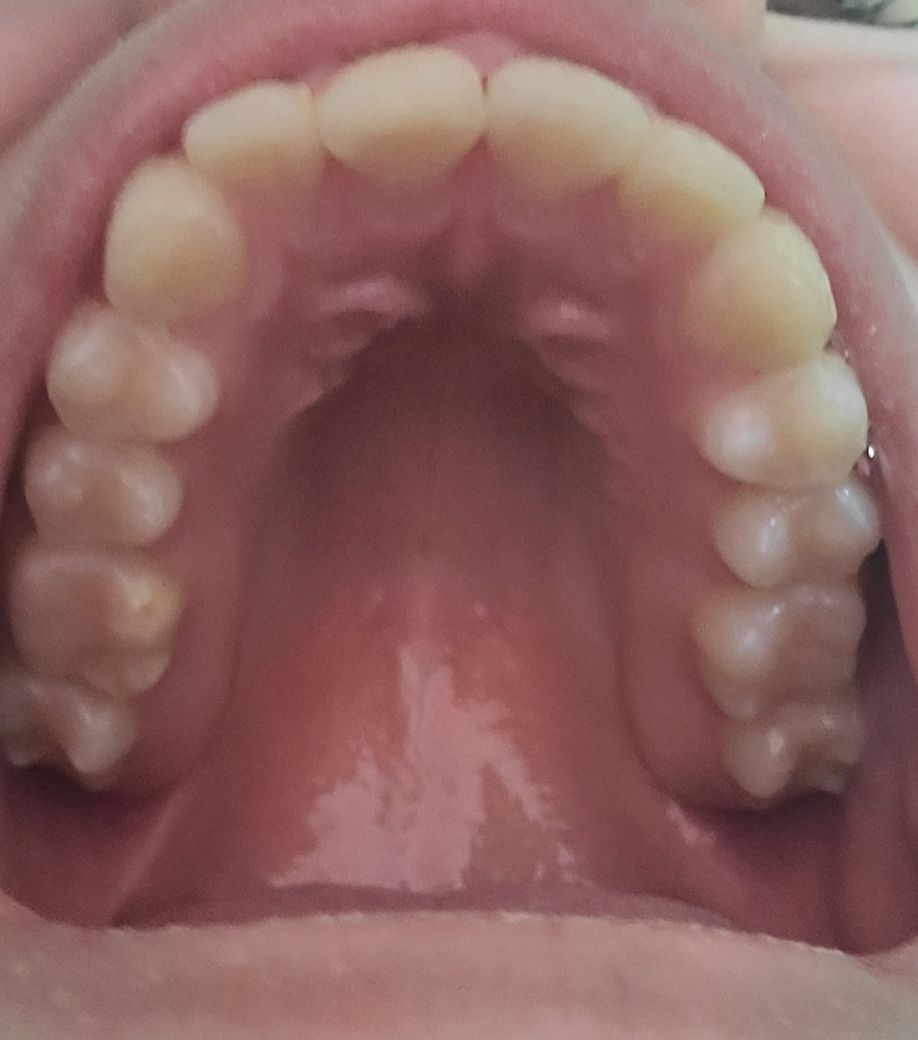
윗니 유지장치 안했는데 많이 휘었나요? (사진주의))

제가 교정하기 시작한건 3년전이고 작년 여름에 땠어요.

윗니는 고른편이고 아랫니가 심했어서 아래만 하려다가 위도 같이 하게 됐습니다. 때고 나서 아랫니는 고정된 유지장치를 했고 위는 빼고 끼는 유지장치로 받았습니다.

첫몇달은 잘끼고 다녔지만 불편하고 자주 까먹어서 이제는 전혀 안끼고 다닙니다^^... 손가락으로 치아를 문지르면 치아간의 차이는 약간 느껴지지만 개인적으로 외관상 봤을때는 다를게 없어보여요. 물론 제가 전문가가 아니라서 뭐라고 할수는 없고 제 게으름에 반성해야하지만...

많이 문제가 될까요?

  • 1번 째 사진
  • 2번 째 사진
  • 3번 째 사진

4개의 답변이 있어요!

  • 안상우 치과의사

    안상우 치과의사

    목동안치과의원

    안녕하세요. 안상우 치과의사입니다.

    교정이 끝났을 때 초기 상태를 알 수 없기 때문에 유지 장치를 사용하고 난 다음에 치아가 얼만큼 이동했는지 확인하기 어렵습니다.

    교정을 하고 나면 치아는 교정하기 이전으로 돌아가려고 하는 속성을 가지고 있기 때문에 가능한 유지 장치는 오래 끼고 있는 것을 권고하고 있습니다.

    자세한 확인을 위해서 교정 치과에서 진료를 받아 보는 것을 권유 드립니다.

  • 안녕하세요. 김지훈 치과의사입니다.

    기존 치아배열이 어땠는지. 모르기에 답변에 한계가 있습니다. 크게 문제가 보이진 않습니다

  • 안녕하세요. 김철진 치과의사입니다.

    사진상으로는 크게 문제가 되어 보이는건 없는거 같습니다. 그래도 유지장치는 착용을 하시는게 좋습니다.

  • 안녕하세요. 송우식 치과의사입니다.

    다소 변형이 되고 있는 것으로 보이며, 유지장치를 착용하지 않는 경우치아가 서서히 움직여 변형이 오게되기에 유지장치를 잘착용하길 권합니다.

    궁금증 해소에 도움이 되시길 바라며, 도움이 되신 경우 '추천' 부탁드립니다.