아하
  • 토픽

  • 스파링

  • 잉크

  • 미션


의료상담

압도적으로고요한장조림

압도적으로고요한장조림

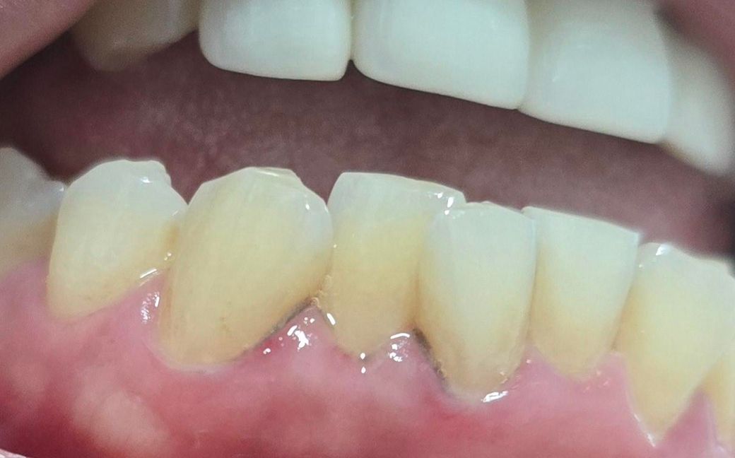
충치일까요? ㅜㅜ 잇몸치아사이가 까매요

ㅊㅣ과 가는게 가장 좋은건 알지만 지금 형편상 치과갈수가 없어서 여쭤봅니다 ㅠㅠ 충치일까요,??? 충치라면 치료는 어떤치료일까요? 대략의 비용도 같이여쭤봅니다

  • 1번 째 사진
  • 2번 째 사진

4개의 답변이 있어요!

  • 김지훈 치과의사

    김지훈 치과의사

    메가

    안녕하세요. 김지훈 치과의사입니다.

    해당 부분은 충치가 생기기는 어려운 곳이므로 착색이나 이물질일 수도 있으나 충치라면 빨리 치료받아야 합니다.

  • 안녕하세요. 김철진 치과의사입니다.

    일단은 치석일가능성이 높습니다. 치과에 가셔서 전체적으로 먼저 치석제거를 받아보세요.

  • 안녕하세요. 송우식 치과의사입니다.

    현재 치석 이나 착색이 의심이 됩니다. 치과에 방문하여 스케일링 치료를 받고 치아 및 잇몸 상태를 확인해보길 권합니다.

    만족스러운 답변되셨으면 합니다.

    평가 감사합니다

  • 안녕하세요. 안상우 치과의사입니다.

    살인으로 봤을 경우에는 충치일 가능성도 있지만 단순한 착색일 수 있습니다. 정확한 확인을 위해서는 엑스레이 사진 등이 필요할 수 있습니다. 자세한 확인을 위해서 치과에서 진료를 받아보세요