의료상담
55글자 더 채워주세요.
2개의 답변이 있어요!
안녕하세요. 송우식 치과의사입니다.
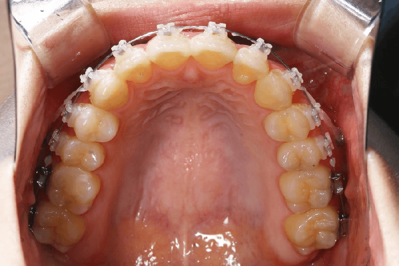
발치를 하지 않고 교정을 한 경우 치아가 고르게 펴지면서 다소 앞으로 나올 가능성이 있습니다. 보다 정확한 부분은 엑스레이를 촬영하여 확인해보길권합니다.
궁금증 해소에 도움이 되시길 바라며, 도움이 되신 경우 '추천' 부탁드립니다.
안녕하세요. 김철진 치과의사입니다.
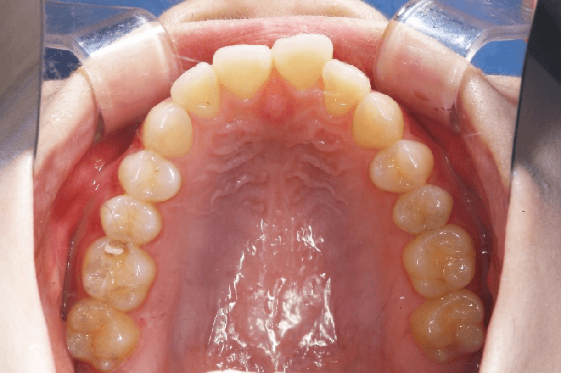
사진으로 보면 교정이 잘되신거 같습니다. 치열이 환자분의 악궁에 맞게 잘 배열되신거같습니다.

