아핫뉴스실시간 인기검색어
아핫뉴스 화산 이미지
아하

의료상담

치과

슬거운개리112
슬거운개리112

치아 사진과 CT를 보시고 치료가 필요한지 확인 해 주실 수 있으실까요?

아래 사진은 제가 직접 찍은 사진입니다.

치과에서 검사를 받아보니, 치아가 착색된 것 같다고 하시며 딱히 치료하지 않고 좀 더 지켜봐도 좋다고 하시더라구요.

만약 썩었다면 CT 상에 검은색으로 보여져야 한다고 하시더라구요.

아래 치아를 치료하지 않고 좀 더 지켜봐도 될까요?

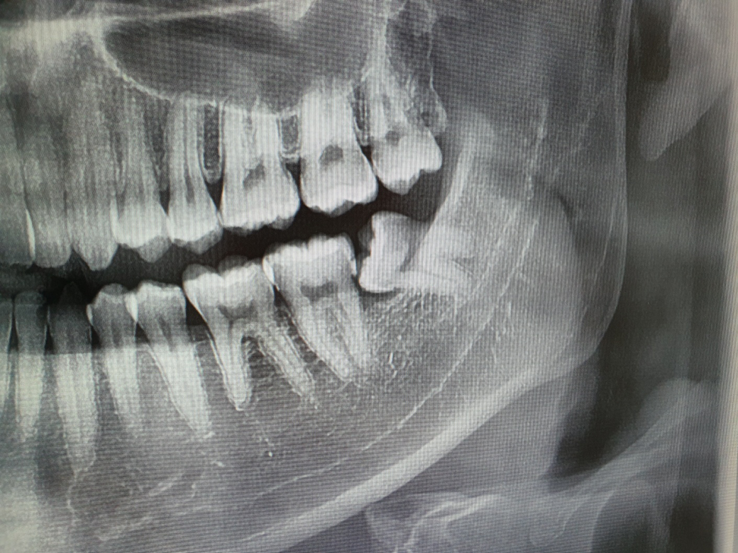
누워있는 사랑니 부분입니다.

  • 1번 째 사진
  • 2번 째 사진
  • 3번 째 사진
3개의 답변이 있어요!
  • 안녕하세요. 김철진 치과의사입니다.

    방사선 사진은 CT가 아니고 파노라마 사진입니다. 사진상으로 보면 착색은 아닌거 같습니다. 그리고 충치여부를 확인하기 위해서는 파노라마 사진보다는 작은 사진을 찍어봐야 제대로 알수 잇을것같습니다.

  • 안녕하세요. 안상우 치과의사입니다.

    파노라마 사진을 봤을 경우에는 충치가 있어 보이진 않습니다.

    하지만 하악의 사랑니는 앞에 있는 치아에 충치를 유발 할 수 있기 때문에 발치를 해 주는 것이 더 좋을 것으로 생각 됩니다.


  • 안녕하세요. 최석민 치과의사입니다.

    해당사진은 파노라마 방사선 사진인데 방사선 사진상에서는 뚜렷이 보이지는 않지만 육안으로 봤을 때는 사랑니 교합면(윗면)과 옆면에 걸쳐 충치가 있는 것으로 판단됩니다.

    다만 여기서 부분매복 사랑니는 충치가 있으면 빼면 되지만 지금 더 중요한 문제는 사랑니가 옆의 두번째 어금니에도 영향을 줄 수 있다는 점입니다. 원래 부분매복 사랑니는 문제를 일으킬 소지가 다소 있긴합니다

    예방적으로 뽑아주는 것도 나쁘지 않을 것 같습니다