아핫뉴스실시간 인기검색어
아핫뉴스 화산 이미지
아하

의료상담

치과

토마코
토마코

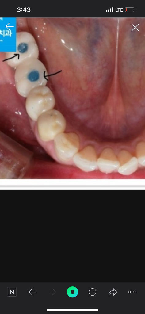
임플란트 마무리 모양이 어떤가요?

원래 이빨 생김새의 모양으로 마무리하지않나요?

저는 어금니를 임플란트 했는데요...


제사진은 아니고

저런식으로 마무리로 끝낫는데 (디테일은 제꺼가 더 이상함;; )

이게 맞나요...?



  • 1번 째 사진
5개의 답변이 있어요!
  • 안녕하세요. 정진석 치과의사입니다.

    현재 파란색인 부분은 아마 레진 등을 통해서 수정할 것으로 보입니다. 다만 이는 오히려 시멘트 타입보다 유지 관리가 좋습니다. 해당 공간의 hole을 통해서 임플란트 머리와 뿌리 부분을 분리할 수 있는데, 추후 임플란트 머리가 부서지거나 문제가 생기더라도 위쪽 보철물만 교체할 수 있어 장점이 있습니다.

    해당 임플란트는 단순히 시멘트 타입보다 훨씬 어려우며 이렇게 해주신 것은 치과의사 선생님이 환자를 위해 임플란트를 오래 쓸 수 있게 구조적으로 만들어주신 것입니다.

    아무쪼록 저의 답변이 문제 해결에 작게 나마 도움이 될 수 있기를 기원드립니다. 항상 건강하고, 행복하세요^^

    정진석 치과의사 드림

  • 안녕하세요. 안상우 치과의사입니다.

    임플란트 뿌리와 머리를 연결하는 나사 구멍을 일부러 만들어서 차후에 수리를 수월하게 하게 하기도 합니다.

    보청 치아색으로 메구게 되면 심미적으로 신경이 쓰이지 않지만 나사에 접근을 쉽게 하기 위해서 치아색과 다른 색의 치과재료로 충전을 하는경우도 있습니다.

  • 안녕하세요. 김지훈 치과의사입니다.

    scrp형태의 임플란트로서 홀부분을 치아색이 나는 레진으로 채워넣을 경우 제거할 때 어려움이 있어 사진상으로 보이는 것처럼 티나는 색상을 넣기도 합니다. 많이 신경쓰이시면 치아색으로 바꾸실 수 있습니다.

  • 안녕하세요. 김철진 치과의사입니다.

    치아 형태로 보철물이 제작됩니다. 임플란트 가운에데이 잇는구멍은 임플란트 보철물과 안에잇는 구조물을 연결시키는데 필요한 나사가 들어가는공간으로 그 부분은 일반적으로 치아색 나는 재료로 채주고 마무리를 하게 됩니다.

  • 탈퇴한 사용자
    탈퇴한 사용자

    안녕하세요. 장인아 치과위생사입니다.

    치아가운데 원형의 홈을 통해 나사를 조였다 뺐다 해서 임플란트 위 크라운을 제거할수 있게 제작 합니다.

    도움이 되기를 바랍니다. 건강하세요.