아하

의료상담

치과

하이콩
하이콩

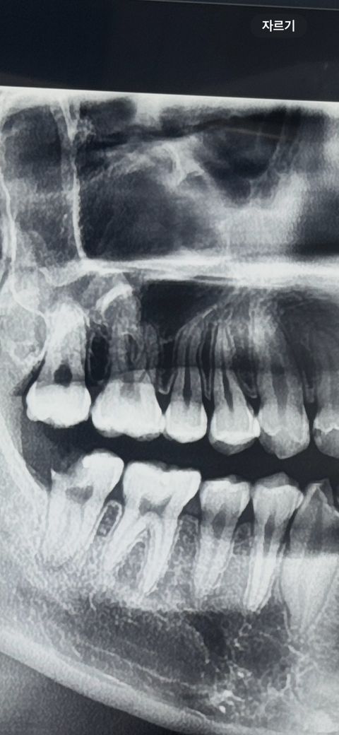
상악동 안에 치아가 있는것이 맞나요?

엑스레이상 상악동안에 치아가 있다고 들어서요

확인 해주시면 감사하겠습니다. 대학병원 가라는데

보험 되는지도 알려주세요..

  • 1번 째 사진
4개의 답변이 있어요!
  • 안녕하세요. 김철진 치과의사입니다.

    상악동에 방사선 불투과상이 보이긴 하지만 치아인지는 확실하진 않습니다. CT촬영을 해보셔야될것같습니다.

  • 안녕하세요. 송우식 치과의사입니다.

    지금 이 파노라마 사진으로 보아서는 상악동 안에 치아는 없습니다. 어금니 뿌리가 상악동과 겹쳐 보이는 정도입니다.

  • 안녕하세요. 안상우 치과의사입니다.

    사진으로 봤을 경우에는 상악동 안에 치아가 있을 수도 있지만 상악동이 아닌 치족을 내부에도 있을 수 있습니다. 사진은 3차원 사진이 아니라 2차원 사진으로 보이기 때문입니다

  • 안녕하세요. 최석민 치과의사입니다.

    엑스레이상 상악동안에 치아가 있다고 들어서요

    확인 해주시면 감사하겠습니다. 대학병원 가라는데

    보험 되는지도 알려주세요.. -> ct 찍어봐야 할것 같습니다 보험은 적용됩니다