홈
토픽
스파링
잉크
미션
전문가 신청
베리몰
나도 질문하기
의료상담
고상한큰고래141
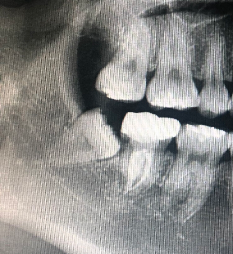
예전에 치과에서 상담받았을때 신경에 닿은건 아니지만 가까이 있기때문에 전문병원 가라는 얘기를 들었었거든요ㅠㅠ 전문병원 기준 매복정도에 따라 발치비용 대충 어느정도쯤인지 알아보고 내원 하고싶어서 질문합니다!
사진 보기
4개의 답변이 있어요!
정진석 치과의사
대학병원 통합치의학전문의
∙
안녕하세요. 정진석 치과의사입니다.
사진 상으로는 완전히 매복되어 있거나 일부 치아 부분의 머리가 보일 것으로 보입니다. 다만 전문 병원 기준으로 매복 정도에 따라 발치 비용이 나오기 보다는 발치 과정에서 어떠한 재료를 추가적으로 사용하는지에 따라 비용이 다를 수 있습니다.
아무쪼록 저의 답변이 문제 해결에 작게 나마 도움이 될 수 있기를 기원드립니다. 항상 건강하고, 행복하세요^^
정진석 치과의사 드림
평가
응원하기
송우식 치과의사
솔플란트치과 경기도 성남시 모란역
안녕하세요. 송우식 치과의사입니다.
사랑니가 경사져 매복되어 있습니다. 이런 경우 사랑니를 부셔 간단한 수술을 통해 발치해야 합니다.
발치 비용은 건강보험 적용되 본인이 치과에 내는 비용은 대략 10만원 밑으로 나옵니다.
김철진 치과의사
가까운우리치과
안녕하세요. 김철진 치과의사입니다.
사진상으로보면 심한 매복은 아닌거 같습니다. 매복사랑니 발치는 의료보험이 적용되지만 지혈제나 CT비용이 청구되면 10만원 내외로 나오실꺼에요.
김지훈 치과의사
메가
안녕하세요. 김지훈 치과의사입니다.
신경과 가까운 것이 맞으며 대학병원에서 발치를 하시는게 좋습니다. 비용은 대략 10만원 나옵니다.