아하
  • 토픽

  • 스파링

  • 잉크

  • 미션


의료상담

말쑥한가젤279

말쑥한가젤279

매복사랑니 신경 대학병원가야할까요?




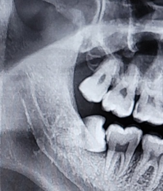
제 사랑니 ct사진인데 아래사랑니가 매복이고 신경이랑 가깝다고 얘기하시더라구요 뽑기 어려운편인가요? ㅜㅜ 대학병원가는게 나을까요?

  • 1번 째 사진

4개의 답변이 있어요!

  • 송우식 치과의사

    송우식 치과의사

    솔플란트치과 경기도 성남시 모란역

    안녕하세요. 송우식 치과의사입니다.

    아래 사랑니가 수평으로 누운 매복 사랑니이며 사랑니 뿌리끝이 밑으로 지나는 신경관과 접촉되어 있습니다.

    이런 경우 사랑니 발치후 혀나 입술에 감각이상이 올 수 있습니만 대학병원에서 하나 구강외과 전문의가 진료하는 개인치과의원에서 하나 가능성은 서로 비슷합니다.

  • 안녕하세요. 김철진 치과의사입니다.

    신경에 가깝긴 하지만 사랑니 발치 자체는 크게 어려운 케이스는 아닙니다. 대학병원을 가셔도 되고 동네 병원에서 발치를 해주는 경우도 잇으니 일단 가까운 치과에 가셔서 상담을 받아보세요.

  • 안녕하세요. 안상우 치과의사입니다.

    매복사랑니가 기울어져 있고 뿌리가 신경이 좀 가깝긴 하지만 난이도가 높은 발치는 아닙니다.

    치과의원에서도 발치를 해주는곳이 있기 때문에 병원에 내원하기 전에 문의를 해보는것이 좋습니다.

  • 안녕하세요. 김지훈 치과의사입니다.

    말씀하신대로 신경이 가까워 손상 가능성이 높으니

    대학병원 에서 뽑으시는 것이 좋아보입니다.