담낭슬러지에 우루사가 도움이 되는 슬러지가 있고 도움이 안되는 슬러지 종류가 있다던데 이건 어떻게 구분하는건가요?
담낭슬러지에 우루사가 도움이 되는 슬러지가 있고 도움이 안되는 슬러지 종류가 있다던데 이건 어떻게 구분하는건가요?
끈적거림 정도일까요? 그리고 초음파 잘보는곳은 담낭볼때 세워서도 찍어보거나 이게 끈적거리는지 어느정도인가 확인하기위해 움직여도 보면서 찍나요? 제가 다닌 곳들은 무슨 증명사진 찍듯이 누워서만 그냥 몇장찍고 마는데
이 부분 잘아시는분 계실까요? 담낭 잘 찍고 진단 잘하는 병원들은 어떻게 다른지 어떻게 치료하는지좀 알고싶네요..
a병원은 담낭슬러지 이정도는 있다 우루사 안먹어도 된다
b병원은 담낭슬러지 있다 하지만 우루사 복용은 보호자 선택사항이다
-a,b 병원은 그럼 담낭슬러지가 점액종 될때까지 방치하면 되나요? 그랬더니 점액종이 되는 경우는 거의 없다합니다
c병원은 담낭슬러지 중증도다 우루사 먹어야한다
대체 뭐가 맞는건지.. 지방이 5~8퍼센트 정도 되는것도 겉에만 부분적으로 회색변을 눕니다.
소화 증상이 요즘 안좋습니다 방귀냄새도 처음맡아보는 희한한썩은냄새가 나고 a,b 병원 말대로 그냥 방치하면 이거 큰일날거같은데 대체 어떻게 해야할까요?
쓴소리 해도되니 좀 진실된 좋은 수의사분 계신다면 제발 지나치지마시고 좀 알려주세요
다 다른데 잘보는곳이나 좀 노하우가 있는분들은 어떻게 하는지가 좀 제발 알고싶습니다.
안녕하세요. 박주찬 수의사입니다.
담낭의 슬러지가 있으면서 부분적으로 담낭에 있는 담즙이 끈적거리는 경우는 우루사와 같은 약을 쓸 수 있지만.
탐나의 완전 폐색이나 담낭 점액종 같이 담낭이 단단하게 굳어버린 경우는 우루사 같은 약을 쓰면 더 심해질 수도 있습니다.
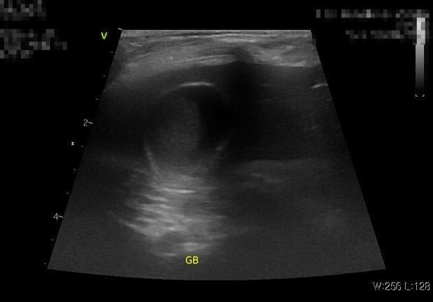
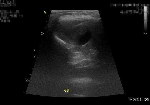
지금 초음파 그림 보면 담낭이 그렇게 커 보이지도 않고 담낭자백종과 같은 양상이 확인이 되지 않으니 우루사를 써 볼 수 있지만
담낭의 슬러지가 차는 경우는 부신피질기능 항진증과 같은 내분비계 질환에 의해서도 생길 수가 있으므로 내분비계 질환도 배제를 하셔야 될 것 같습니다
1명 평가안녕하세요. 박창민 수의사입니다. 일단 여기서 제공받은 자료만으로 판단 내리기는 어렵습니다. '우루사'로 알려져 있는 UDCA를 포함하여 SMAe 등 간 기능에 효과가 있는 건 사실이며 처방도 나가게 됩니다. 다만, 실질적으로 담낭 슬러지에 대한 효과는 수의사들 사이에서도 의견이 분분한 건 사실입니다. 따라서, 제가 드릴 수 있는 조언은 복용을 몇 주 정도 해보시고 추적 관찰을 해보는 것도 방법입니다(실제로 줄어들었는지? 개선이 있는지?). 즉, 저는 B 병원의 말대로 보호자의 선택사항이라는 말에 조금 더 동의합니다. 다만, 이건 어디까지나 제 의견이고 다른 수의사 선생님의 의견도 충분히 맞습니다. 감사합니다.

