아하
  • 토픽

  • 스파링

  • 잉크

  • 미션


진심친화적인라마

진심친화적인라마

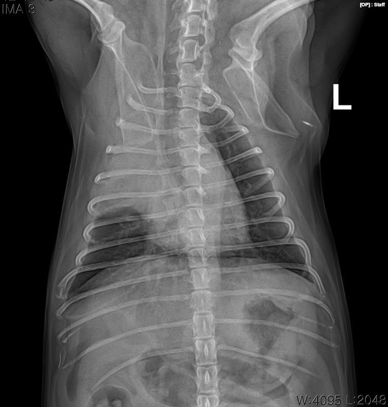
강아지 폐 종양 기수(진행 현황)에 대해 궁금합니다

안녕하세요.

엑스레이와 CT를 보았을 때, 강아지 폐암이 몇 달 정도 진행된건지 알 수 있을까요?

폐 종양은 보통 빠른 시기에 크나요?

약 2~3주간 기침, 가래 증상만 있던 상태입니다.

1개의 답변이 있어요!

  • 이은수 수의사

    이은수 수의사

    프리랜서

    안녕하세요. 이은수 수의사입니다.

    폐종양은 보통 아무증상없이 수개월~수년에 걸쳐 발생하는게 일반적이나 드문경우 수주에 걸쳐 하게 커지기 때문에 영상검사 결과만으로 발생 기간을 추정할 수 없습니다.