아핫뉴스실시간 인기검색어
아핫뉴스 화산 이미지
아하

의료상담

정형외과

로맨틱한허스키161
로맨틱한허스키161

5중족골 수술 회복기간 여쭙고싶습니다

성별
남성
나이대
26

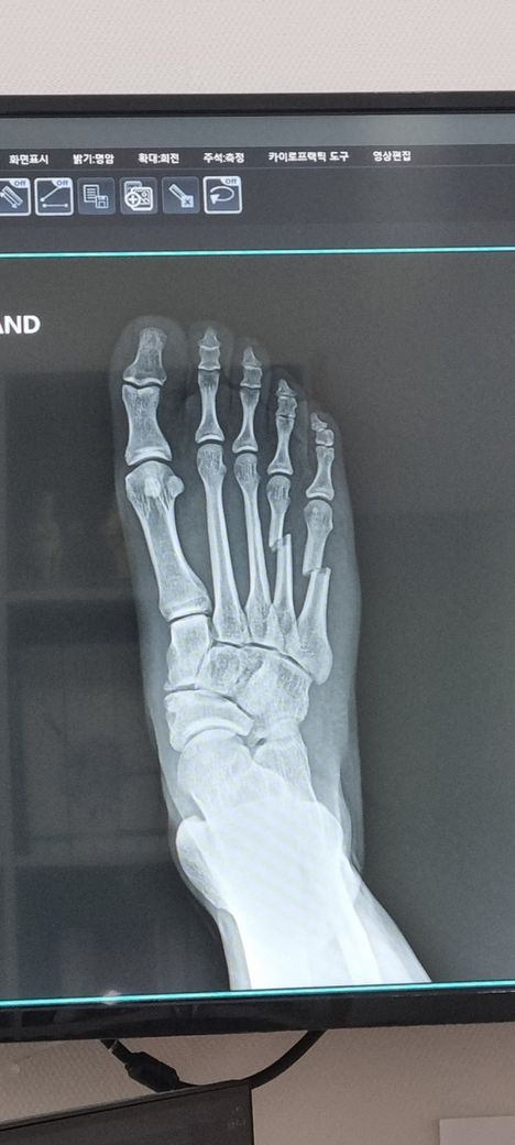
안녕하세요 MMA 스파링도중 발등뼈가 부러졌습니다.

저는 지금 유디티 준비중인데 12월에 실기에요... 지금부터 68일정도 남았는데
내일 수술을 받는다하면 12월쯤엔 뛸 수 있을까요?

너무 열심히 준비한 꿈이여서 이대로 포기하기 너무 맘이 아픕니다....

또 아래 사진정도면 신체검사시 감점때문에 그런데 비수술로는 회복이 어려울까요?

  • 1번 째 사진
55글자 더 채워주세요.
1개의 답변이 있어요!
  • 개개인마다 회복력이나 회복 과정에서 발생하는 여러가지 요인에 의해서 회복에 걸릴 시간이 천차만별로 다르기 때문에 현재로서는 정확하게 알기 어렵습니다. 다만, 일반적으로 수술 후 회복에 있어서는 최소 2-3개월이 소요되는 만큼 12월까지 68일만에 뛸 정도로 회복이 가능하지 못할 가능성이 더 높습니다. 비수술적으로 회복을 하더라도 시간은 오래 걸리는데, 현재 상태에서 뼈가 많이 어긋나 있는데 수술을 하지 않을 경우 회복 기간이 중요할 것이 아니라 걷는 것과 뛰는 기능 자체에 문제가 생길 우려가 있습니다.

PC용 아하 앱 설치 권유 팝업 이미지장도연이 추천하는 아하! 앱으로 편리하게 사용해 보세요.
starbucks
앱 설치하고 미션 완료하면 커피 기프티콘을 드려요!