아핫뉴스실시간 인기검색어
아핫뉴스 화산 이미지
화산 아이콘 11
제작진 불륜 논란 사과
아하

의료상담

치과

많이기대하게만드는백만장자
많이기대하게만드는백만장자

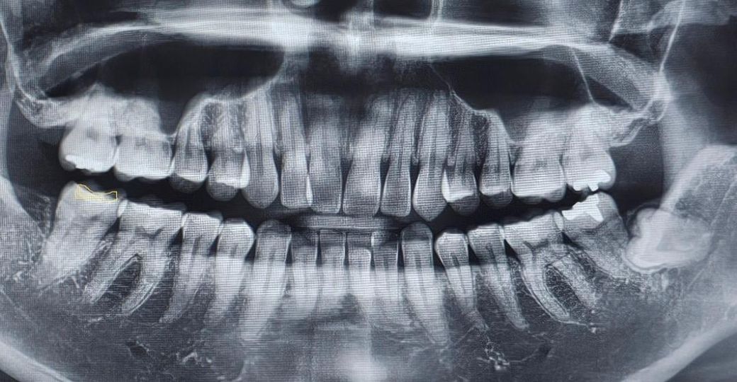
매복사랑니 예방차원에서 발치 필요할까요?

안녕하세요. 기존에 있던 사랑니 2개 제거 후 왼쪽 어금니 옆 매복사랑니 하나 남아있습니다.

사랑니 발치 때 치과에서 매복사랑니는 그냥둬도 된다고하셨는데, 이게 오래 되면 나중에 더 큰 문제가 된다는 글을 봐서요.(치아뿌리흡수되서 제거가 어려워진다 / 염증발생시 옆 어금니도 발치해야된다)

지금은 문제가 없는데 예방차원에서 미리 제거하는게 좋을지 의견 들어보고 싶습니다.

  • 1번 째 사진
  • 2번 째 사진
1개의 답변이 있어요!
  • 안녕하세요. 최석민 치과의사입니다.

    예방적으로 빼줘야 하는 경우는 옆 어금니와 인접하여 옆 어금니의 치아 뿌리 흡수, 충치 유발 가능성이 있을때 입니다.

    지금 엑스레이상으론 근접해보이긴 하는데 정확한 건 ct를 찍어봐야 합니다.