제 mra 인데요 저 가은데 하얀건 뭔가요??
결과 기다리는중인데 궁금해서요. 저 가은데 하얀 공같은 저거 뭔가요? 원래 있는건가요? 저거 뇌 맞지요? 이상한 거라면 확실하지 않아도 되니 대충 ~~같다 라고 해주세요
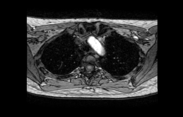
안녕하세요. 이욱현 의사입니다. 사진은 가슴 부근인 것으로 보입니다. 대동맥궁(arch)인 것 같습니다. 대동맥궁에서 뇌로 가는 혈관들이 시작하기 때문에 찍힌 것으로 보입니다.
안녕하세요. 강성주 의사입니다.
현재 캡처해 주신 부분은 흉부입니다.
양쪽의 폐 및 가운데 공같은 것은 대동맥에 해당하겠습니다.
감사합니다.
안녕하세요. 최연철 의사입니다.
자기공명혈관영상(MRA) 소견에 대해 궁금하신 듯합니다.
질문에 첨부되어 있는 사진은 가슴 부위에 해당되며,
궁금해 하시는 구조물은 정상적인 구조물인 대동맥궁에
조영제가 지나가며 하얗게 강조된 것으로 추측됩니다.정확한 소견은 담당 의료진과 상의하시길 권장드립니다.
궁금증 해소에 도움이 되었길 바랍니다. 감사합니다.안녕하세요. 아하(Aha) 의료분야 답변자 외과 전문의 배병제입니다.
중앙에 하얗게 보이는 부분은 대동맥입니다. 뇌를 찍은 장면은 아니고 흉부 영상입니다.
저의 답변이 도움이 되셨길 바랍니다.
안녕하세요. 임계홍 의사입니다.
이게 뇌 MRI 인가요?
저거 폐랑 심장근처 인데요
혈액입니다. MRI 사진을 여러장 같이 올리시면 도움이 됩니다.
안녕하세요. 채홍석 의사입니다. 상행대동맥의 일부가 보이는 것 같습니다. 첨부해주신 영상은 아직까지 뇌가 보이는 레벨은 아닌 것 같네요
안녕하세요. 영상의학과 전문의 최원제 의사입니다.
올려주신 사진은 흉부부위의 사진입니다. 말씀하신 가운데 하얀 공같은 것은 혈관입니다. 대동맥궁으로 보이네요.
결과를 기다려보세요.

