아핫뉴스실시간 인기검색어
아핫뉴스 화산 이미지
화산 아이콘 11
윤석화 별세
많이 본
아하

의료상담

치과

정말유순한남생이
정말유순한남생이

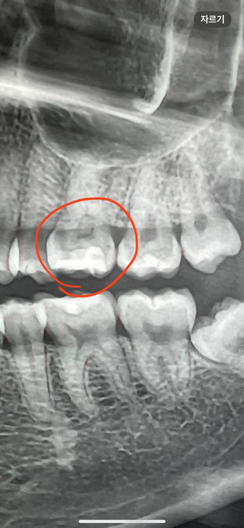
엑스레이 상에서 인레이와 크라운 중에서 어떤 치료가 필요한가요??

원래 인레이가 되어있던 치아인지는 모르겠어요.

충치로 인해 옆에 아주 살짝 깨진 부분이 보이고요.

1. 최대한 인레이로 하고 싶은데 만약 인접면까지 있는 충치를 인레이로 했을 때 치실을 사용해도 될까요? 인레이를 치실이 자꾸 건드려 틈이 발생하고 2차 충치가 생길까봐 걱정되어서요. 그리고 인접면 인레이 충치치료 관리 방법이 있을까요?

2. 신경치료의 가능성이 어느정도 인가요..?

  • 1번 째 사진
  • 2번 째 사진
4개의 답변이 있어요!
  • 안녕하세요. 안상우 치과의사입니다.

    사진으로만 봤을 경우에는 인레이로 치료를 하기에는 너무 넓은 범위인 것으로 보입니다. 인에이치료를 했을 경우 치아가 상대적으로 약해지게 되어 쉽게 파절되거나 할 수 있기 때문에 크라운 치료를 하는 것이 좋을 수 있습니다. 자세한 확인을 위해서 직화에서 진료를 받아보는 것을 권유 드립니다.

  • 안녕하세요. 김지훈 치과의사입니다.

    크라운을 해야할 가능성이 더 높아보이지만 인레이를 하는 것도 가능할 겁니다. 치실로 관리하시면 됩니다.

  • 안녕하세요. 김철진 치과의사입니다.

    일단은 인레이를 해보시고 하고 나서 시린증상이 잇거나 충치제거시 신경이 노출되면 신경치료를 하셔야될것같습니다.

  • 안녕하세요. 최석민 치과의사입니다.

    1. 오히려 치실은 해주는 것이 좋습니다. 치실을 안해서 치아 사이에 음식물이 껴 있게되면 충치가 더 잘 발생합니다.

    2. 치실을 뺄때 위나 아래로 확 잡아빼면 인레이가 탈락될 우려도 있으니 그러지 마시고 앞으로 쭉 잡아 뽑으시기 바랍니다.

    3. 제대로 사용한다면 치실 사용으로 인해 치아 틈이 벌어지거나 치아가 마모되진 않습니다.

    4. 뜨거운 음식 등에 민감한 증상이 있다면 신경치료 가능성도 있습니다.