아핫뉴스실시간 인기검색어
아핫뉴스 화산 이미지
화산 아이콘 11
이동진, 김지연 쌍둥이 임신
아하

의료상담

치과

관대한관박쥐2
관대한관박쥐2

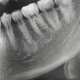
뿌리 염증이 보인다는데 엑스레이좀 봐주실수 있을까요?

작은어금니 끝에 염증이 약간 보여서 신경치료를 예약해놓은 상태입니다.

그런데 특별히 충치가 보이지는 않는대요 그래서 딱히 이유는 모르겠다는데,

신경치료 말고 따로 관리하거나 염증을 줄일수는 없는걸까요? ㅠㅠ

  • 1번 째 사진
1개의 답변이 있어요!
  • 안녕하세요. 김철진 치과의사입니다.

    엑스레이 상에 보이는건 염증보다는 골 경화증일가능성이 있어 보이는데요. 증상이 없다면 그냥 두셔도 크게 상관은 없는거 같습니다.