아하
  • 토픽

  • 스파링

  • 잉크

  • 미션


의료상담

빨간꽃게292

빨간꽃게292

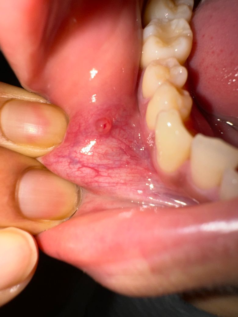
입 안에 물집이 생겼는데 안사라져요.

한 열흘정도 전에 좀 피곤하고 스트레스받는 일이 있었어서 그런지 입 안에 물집이 생겼었는데요. 알보칠 바르니까 그 때는 점막이 하얀색이였는데 그게 벗겨지고 물집이 생겼어요. 좀 더 커진느낌인데 구강암같은거일 수 있나요?

  • 1번 째 사진
  • 2번 째 사진
  • 3번 째 사진

4개의 답변이 있어요!

  • 송우식 치과의사

    송우식 치과의사

    솔플란트치과 경기도 성남시 모란역

    안녕하세요. 송우식 치과의사입니다.

    구강암일 가능성은 낮으며, 구내염이 생긴 것으로 보입니다. 알보칠은 구강점막에 자극감이 쎄기에 현재 해당부위 소독을 위해 헥사메딘 가글액으로 가글하여 관리하고, 구내염에 바르는 연고 및 점막재생을 돕는 비타민 섭취를 권합니다.

    만족스러운 답변되셨으면 합니다.

    ⭐평가⭐ 감사합니다.

  • 안녕하세요. 안상우 치과의사입니다.

    사진으로 봤을 경우에는 점액종이라고 불리우는 증상일 수 있습니다. 점액종은 점막 안에 조지기 튕기면서 만들어지게 됩니다.

    점막이 외부 자극에 강하게 자극이 되었을 경우 생길 수 있기 때문에 치아에 가해지는 힘을 줄여보는 것이 좋습니다. 또한 치과에서 가볍게 제거할 수도 있기 때문에 자세한 확인을 위해서 치과에서 진료를 받아보는 것을 권유 드립니다.

  • 안녕하세요. 김철진 치과의사입니다.

    입술이 치아에 씹혀서 생긴 물집으로 터트리시면되고 개속해서 반복적으로 생기면 치과에 가셔서 마취후에 레이저같은걸로 제거를 하시는게 좋습니다 .

  • 안녕하세요. 김지훈 치과의사입니다.

    단순 구내염으로 판단됩니다. 시간이 지나면 자연스럽게 없어질 것 같지만 계속 있다면 치과 가보시면 됩니다.