홈
토픽
스파링
잉크
미션
전문가 신청
베리몰
나도 질문하기
의료상담
현재도마른우럭
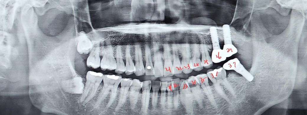
임플란트 염증이 발생해 뼈가 많이 녹았다 해서 37번 치아 제거후 다시 심지 않고 27번은 밀봉하고 26번과 36번으로 저작할수 있게 하려고 합니다 밀봉했을때 27번은 문제 없는지 기능상 문제가 없을지 궁금합니다
사진 보기
3개의 답변이 있어요!
송우식 치과의사
솔플란트치과 경기도 성남시 모란역
∙
안녕하세요. 송우식 치과의사입니다.
이런 경우 #37임플란트 제거하고 다시 임플란트 심지 않는 경우 종종 있습니다. 이렇게 해도 씹는데는 큰 문제없습니다.
5.0 (1)
1
고민해결 완료
100
김철진 치과의사
가까운우리치과
안녕하세요. 김철진 치과의사입니다.
임플란트를 밀봉한다는게 보철물을 제거하고 임플란트 나사를 묻어 놓는다는 의미인거라면 그렇게 하셔도 크게 문제가 되진 않습니다.
응원하기
안상우 치과의사
목동안치과의원
안녕하세요. 안상우 치과의사입니다.
치열을 상실했을 경우 해당 치아에 가해질 수 있는 교합력이 다른 치아에 가해지게되어 해당 지아가 수명이 줄 수 있습니다. 치열을 상실했다면 가능한 치아를 수복하는 것이 좋을 수 있습니다
자세한 확인을 위해서 치과에서 진료를 받아보는 것을 권유드립니다.
평가