아핫뉴스실시간 인기검색어
아핫뉴스 화산 이미지
아하

의료상담

정형외과

다소설레는악어
다소설레는악어

발목 연골 손상 (MRI 판독 문의!)

성별
남성
나이대
36
기저질환
발목 연골 손상
복용중인 약
없음

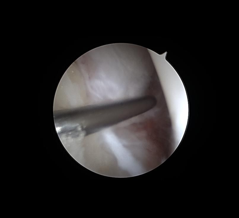
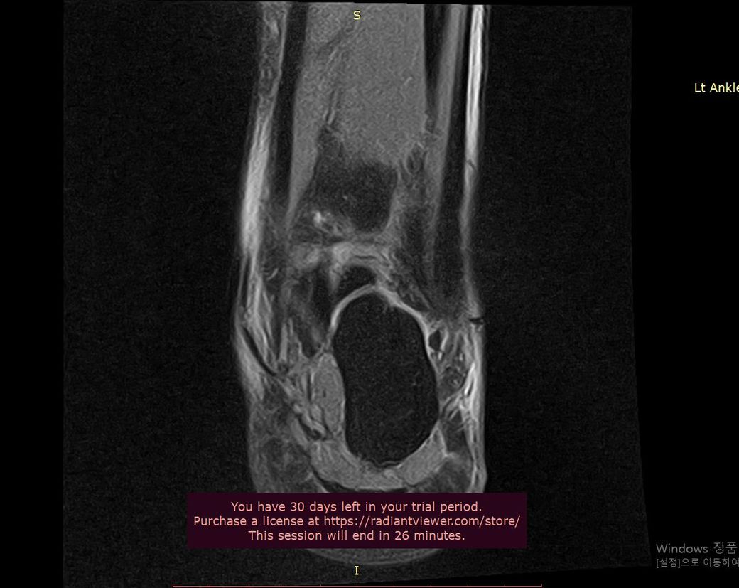
제가 발목 연골손상이라 mri와 내시경 사진이 있는데

어떤 상태인지 좀 다른 고견을 들어보고자 합니다

이것땜에 너무 힘든 상태이고 지쳤습니다

선생님들의 고견을 받아보고싶습니다

앞으로 운동이나 할수 있을지 잘 걸을수 있을지 모르겠

습니다

  • 1번 째 사진
  • 2번 째 사진
  • 3번 째 사진
  • 4번 째 사진
  • 5번 째 사진
  • 6번 째 사진
  • 7번 째 사진
  • 8번 째 사진
  • 9번 째 사진
  • 10번 째 사진
  • 11번 째 사진
  • 12번 째 사진
  • 13번 째 사진
3개의 답변이 있어요!
  • 안녕하세요. 김의균 물리치료사입니다.

    발목 연골의 손상 같은 경우 손상 정도에 따라 회복 가능성 및 회복 기간의 차이가 있을 수 있으며 완전 손상 같은 경우 수술이 필요할 수 있지만 부분적인 손상 같은 경우 수술 없이 보존적인 치료가 가능하며 주사나 약물치료 재활치료 등을 통해 회복이 가능합니다.

    빠른 쾌유를 기원합니다.

    감사합니다 수고하세요~

  • 안녕하세요. 송진영 물리치료사입니다.

    발목 연골 손상은 정도에 따라 회복 가능성 차이가 크고 mri와 내시경 소견이 매우 중요해요 완전 손상보단 부분 손상이면 재활과 치료로 걷기와 가벼운 운동은 충분히 가능할 수 있어요 이미지 확인은 병원에 내원 하셔서 정확한 진단을 받으시길 바랍니다!

  • 안녕하세요. 김현태 물리치료사입니다.

    현재 연골 손상이 있으신 것으로 보이는데요, 올려주신 사진이 참고에 도움이 될 수 있으나 정확한 소견을 말씀드리기에는 어려움이 있으므로 정확한 소견은 주치의에게 들어보시는 것이 좋겠습니다.

    연골 손상이 발생하여도 전문적인 치료와 적절한 재활 및 꾸준한 관리를 통해 충분히 회복을 하실 수 있고, 일상생활 및 보행에 큰 지장이 발생하지 않을 것으로 생각합니다.