아핫뉴스실시간 인기검색어
아핫뉴스 화산 이미지
화산 아이콘 11
윤석화 뇌종양 별세
아하

의료상담

치과

충윤이
충윤이

사랑니가 보이는데 꼭 뽑아야 하는 걸까요?

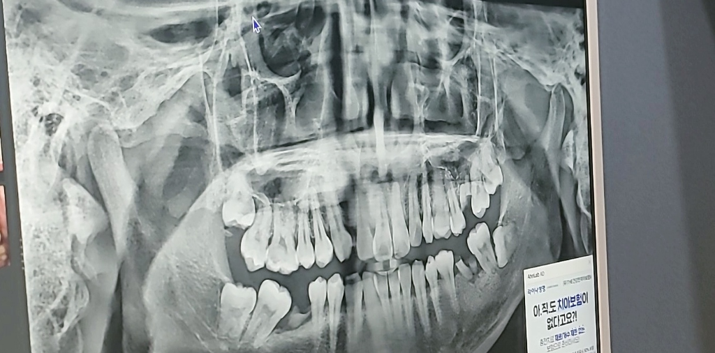
저번주에 오른쪽 어금니쪽 살짝 통증이 있어서 거울을 봤는데 하얀색 비스무리한 것이 보이길래 자세히 보았는데 잇몸을 뚫고 사랑니가 보이더라구요 현재로써는 거의 사랑니가 보여지구요 잇몸이 살짝 덜렁(?) 거린다고 해야하나 현재는 아프지않고 거슬리기만 하는데 꼭 발치해야하나요? 지금은 냅두고 싶습니다 ㅠㅠ 발치해야 될 상황 요건도 갖추어지지 않은 상태여가지구요ㅠㅠ 저번에 치과가서 사진찍었던것 남겨드립니다



  • 1번 째 사진
4개의 답변이 있어요!
  • 안녕하세요. 안상우 치과의사입니다.

    사랑니가 난다고 해도 똑바로 라면은 발치를 하지 않아도 되는 경우가 많습니다.

    사랑니는 맨 뒤에 나오는 지하로 양치질을 할 때 관리하기가 쉽지 않기 때문에 쉽게 충치가 생기거나 앞에 치아에 문제를 발생할 수 있습니다.

    사랑니가 맹충하고 난 다음에 발치를 하기 싫다면 관리를 잘 해 주는 것이 좋습니다.

  • 안녕하세요. 김지훈 치과의사입니다.

    전체적인 치아 상태가 많이 안좋기 때문에 사랑니도 뽑으시고 임플란트 치료도 다수가 필요해보입니다.

  • 안녕하세요. 김철진 치과의사입니다.

    지금은 크게 불편하지 않아서 발치를 안하셔도 되겟지만, 언젠가는 발치를 하시긴 하셔야될것같습니다.

  • 안녕하세요. 최석민 치과의사입니다.

    사랑니에 대해 먼저 말씀드리자면 양쪽 위,아래로 다 사랑니가 있어서 총 4개의 사랑니입니다. 사랑니의 경우 현재 위치상 그 앞 두번째 어금니 사이로 음식물이 잘 끼게끔 되어 있습니다. 따라서 옆 어금니 충치, 잇몸 부종(치관주위염)등을 유발할 수 있습니다.

    사랑니 말고도 전반적으로 뿌리만 남은 치아가 아래 2개 있는데 둘 다 씹는데 중요한 역할을 하는 첫번째 큰 어금니입니다. 그리고 뼈도 많이 녹아있는 상태여서 수직적 높이가 굉장히 낮습니다.

    전반적으로 치과를 가셔서 치료계획을 세워보시면 좋을 것 같습니다.

    당장 급한건 사랑니 발치보다는 전체적인 치과 치료계획인 것 같습니다. 발치는 치료계획을 세울 때 조금 후순위로 뒤로 미룰 수도 있습니다.