아핫뉴스실시간 인기검색어
아핫뉴스 화산 이미지
화산 아이콘 11
비트코인 반등 실패
아하

의료상담

치과

아마도성숙한펭귄
아마도성숙한펭귄

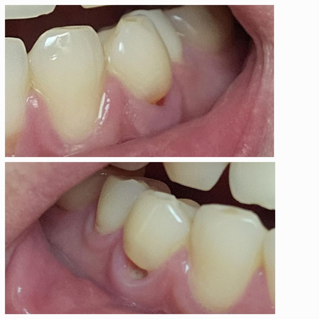
어금니 충치 치료 및 레진 작업 후 상태 확인

안녕하세요

2주전 양쪽 작은 어금니 충치 치료 후 레진 작업했습니다.

  1. 변색이 있는데 괜찮은건가요?

  2. 한쪽 어금니가 치료 후 최근 갑자기 찬물마실때 시린데 시간지나면 괜찮아질까요?

치료전 사진

  • 1번 째 사진
  • 2번 째 사진
4개의 답변이 있어요!
  • 안녕하세요. 김지훈 치과의사입니다.

    변색은 있더라도 특별히 문제가 되지는 않습니다. 다만 시린곳은 계속 지켜보다가 증상이 사라지지 않으면 치과 가보셔야 합니다.

  • 안녕하세요. 정진석 치과의사입니다.

    1. 변색이 있더라도 통증이나 불편감이 없다면 괜찮습니다. 다만 주기적으로 치과 방문 후 검진이 필요합니다.

    2. 해당 불편감이 있다면 다시 검사를 해보는 것이 좋습니다. 원인이 되는 것을 제거하고 적절한 치료를 하는 것이 맞습니다.

    아무쪼록 저의 답변이 문제 해결에 작게 나마 도움이 될 수 있기를 기원드립니다. 항상 건강하고, 행복하세요^^

  • 안녕하세요. 김철진 치과의사입니다.

    기존에 치경부 마모증이 심하고 안쪽에 충치가 잇엇던거 같습니다. 충치가 깊어서 당분간 시릴수도 잇을것같습니다. 치아색이 변색된거라 크게 문제가 잇는건 아닌거 같습니다.

  • 안녕하세요. 최석민 치과의사입니다.

    1. 치료 후 1~2주 정도는 시릴 수 있습니다. 계속 시리면 신경이 영향을 받고 있는 것일 수 있고 이런 경우 신경치료가 필요할 수 있습니다.

    2. 특별히 재료에 변색이 된 것은 아닌 것 같고 원래 치아가 약간 변색된 양상 같습니다. 충치와 연관은 없는 것으로 보입니다.