아핫뉴스실시간 인기검색어
아핫뉴스 화산 이미지
화산 아이콘 11
지상렬 신보람 결혼
아하

의료상담

정형외과

큰바다표범145
큰바다표범145

척추분리증인가요??(엑스레이 있어요)

성별
여성
나이대
29

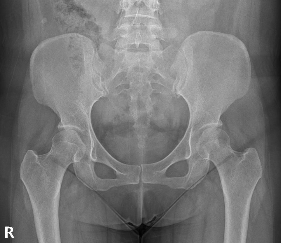
한 병원에서는 척추분리증이라고 하고 한 병원에서는 척추분리증이 아니라고 해서요. 혹시 아래 사진에서 척추분리증 소견이 보이는 사진이 있나요??

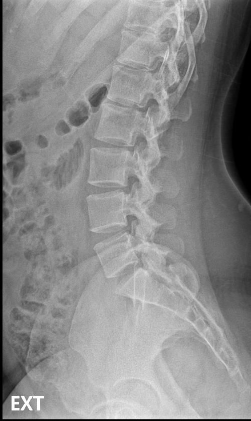
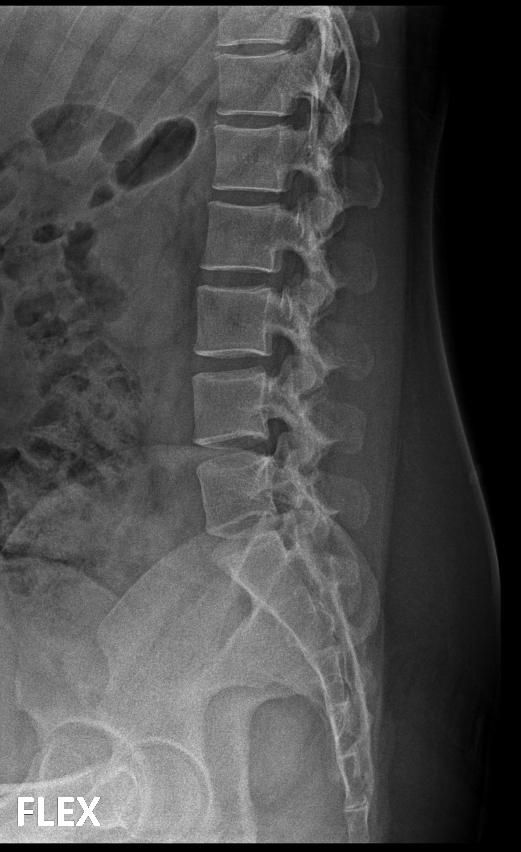
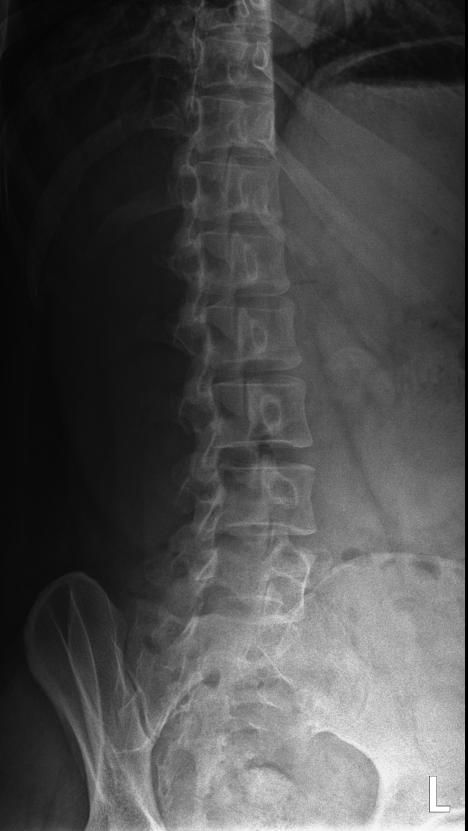
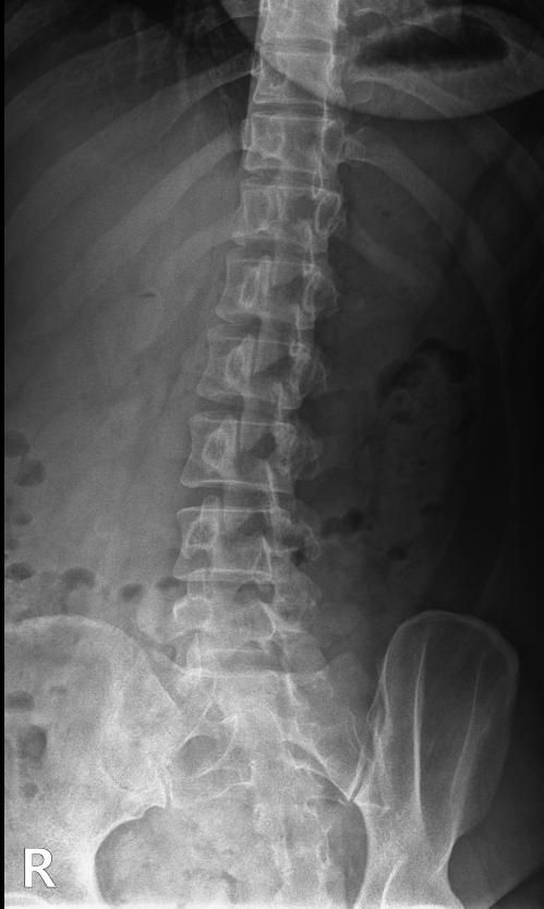
여기까지가 a병원에서 찍은 사진이고 아래가 b병원에서 찍은 사진이에요!

  • 1번 째 사진
  • 2번 째 사진
  • 3번 째 사진
  • 4번 째 사진
  • 5번 째 사진
  • 6번 째 사진
  • 7번 째 사진
  • 8번 째 사진
  • 9번 째 사진
  • 10번 째 사진
  • 11번 째 사진
  • 12번 째 사진
6개의 답변이 있어요!
  • 안녕하세요. 남희성 의사입니다.

    척추분리증 맞습니다.

    A병원 세번째 사진의 아래 부위에 척추분리증이 있는게 맞습니다.

    B병원 사진에서는 비교적 흐리게 보이지만 잘 보면 B병원 엑스레이에서도 같은 부위에 분리증을 확인할 수 있습니다.

    1명 평가
  • 안녕하세요. 김의균 물리치료사입니다.

    두 사진을 비교해서 보았을 때 큰 문제가 있어 보이지는 않으며 엑스레이상 척추분리증 진단이 어렵거나 애매한 경우에는 추가적인 검사 MRI를 통해 진단을 받아보시는 것도 방법이라고 생각합니다.

    감사합니다 수고하세요~

    1명 평가
  • 안녕하세요. 김덕현 물리치료사입니다.

    엑스레이상으로 판단하기 애매하다면 MRI검사를 받아보는것이 가장정확합니다 만약 수술적 치료를고려하고있다면 최소 3명의 전문의와 상담을받아보시길 바랍니다

    제가볼때 엑스레이상에 분리증은 보이지않지만 각도에따라 그리고 기계에따라서 달라질수있으니 정확하게 하고싶다면 MRI검사를 추천합니다 감사합니다~

    1명 평가
  • 안녕하세요. 김현태 물리치료사입니다.

    두가지 사진을 비교해보았을 때, 크게 특징적인 것이 관찰되지는 않습니다. 척추분리증을 진단하는 것은 임상증상과 영상검사를 통한 구조적 이상을 확인하는데요, 정확한 검진을 위해서는 ct나 mri같은 검사를 고려하시거나, 척추질환을 전문적으로 진단하는 병원급 의료기관에 방문해보시는 것도 고려해보시면 좋겠습니다.

    1명 평가
  • 안녕하세요. 송진영 물리치료사입니다.

    척추분리증은 척추의 특정 부위에서 척추뼈가 분리되거나 불안정해지는 상태를 의미합니다. 일반적으로 L5 척추뼈와 S1 엉덩뼈 사이에 발생하는 경우가 많고 이로 인해 허리 통증이나 신경 증상이 나타날 수 있어요! 따라서 두 병원에서의 진단이 다를 경우 추가적인 검사를 받거나 다른 전문의의 의견을 구하는 것이 좋습니다.

    1명 평가
  • 안녕하세요. 김수비 의사입니다.

    이런 영상 검사는 영상의학과 전문의에게 해석 해달라고 하는게 제일 정확하고 안전합니다.

    우선 영상 해석은 영상의학과 전문의들의 고유 영역이고 검사 결과를 해석 할 때는 단순 영상 뿐만 아니라 환자의 병력, 증상, 이전 검사 결과까지 종합적으로 고려해야 해요. 이렇게 해석된 검사 결과를 담당 의사에게 넘기면서 환자는 진단을 받게 되는거죠. 따라서 검사를 진행한 담당 의사가 환자에 대해 가장 많은 정보를 알고 있는 사람으로, 검사 결과가 환자에게 어떤 의미를 가지는지, 그리고 그에 맞는 최적의 치료 방법은 무엇인지를 잘 판단할 수 있습니다. 즉, 검사와 관련된 세부적인 정보와 환자의 상태를 가장 잘 아는 담당 의사와 상담 해 보시는게 제일 정확 하고 안전해요