에스컬레터에서 넘어져 엄지발가락 아파요
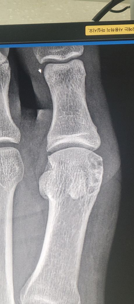
운동화 신고 에스컬레터 내려가는길 넘어져 엄지발가락 옆 뼈를 부디쳤는데 뛸때 마다 통증이 있어요 뼈가 구멍이난거처럼 그렇기에 피검사 후 요산 수치가 7.93 입니다 통풍이맞나요? 아님 단순 통증인가요? 한번도 아픈적 없었습니다.
안녕하세요. 김덕현 물리치료사입니다.
사진상으롬낳은걸확인할수는없지만 지속적으로 불편감이있다면 병원에서 검사와치료를받아보는것이 좋은데요 보통은 물리치료와 약물치료를통해서 호전될수있고 그래도 증상이 호전되지않는다면 체외충격파치료를받아보시길 바랍니다 감사합니다~!
안녕하세요. 송진영 물리치료사입니다.
엄지발가락을 부딪힌 후 통증이 있다면 타박상이나 미세골절 가능성이 있습니다 요산 수치가 7.93으로 다소 높은 편이지만 통풍은 외상없이 갑자기 발생하는 심한 통증이 특징이라 이번 통증과 직접적인 연관은 낮아보입니다 통증이 지속되거나 부기가 있다면 정형외과에서 엑스레이 검사를 받아보는 것이 좋아요!
안녕하세요. 이창우 물리치료사입니다.
물리적인 충격과 요산이 합쳐져서 통증에 대해 엄청 예민해진걸로 추정이됩니다.
요산이 쌓여 통풍의 전조증상이 되더랄도 충분히 발이 예민해질 수 있습니다.
거기에 외부충격이 보통의 충격이 아닌 에스컬레이터 충격였던만큼 영향력이 적지 않았을거라고 생각합니다.
환자분의 건강을 응원하겠습니다.
긴 글 읽어주셔서 감사합니다.
안녕하세요. 김현태 물리치료사입니다.
우선은, 타박상으로 인한 통증이 생긴 것 같습니다.
질문자분께서 올려주신 영상자료에서도 특이한 것은 보이지 않는 것 같구요, 다만 요산수치는 성인 남성의 경우 7이하로 유지되는 것이 좋으니 이점은 지속적으로 관리하시는 것을 추천드립니다.
타박상은 겉으로 보이는 멍이나 상처가 치유된 이후에도 통증이 지속될 수 있으니, 당분간은 격한 운동이나 발에 무리를 줄 수 있는 행동은 줄여보시는 것도 추천드립니다.
안녕하세요. 김강록 물리치료사입니다.
보통 요산 수치가 7 이상이면 고요산혈증으로 분류되긴합니다. 통풍에 대한 치료와 꾸준한 관리가 필요합니다.
또한 에스컬레이터에서 엄지 발가락을 다치면서 현재 통증이 있으시기에 통풍과 더불어 통증있는 부위를 검사해보시고
치료 받는것도 좋아보입니다.
우선 처방 받은 약이 있으시다면 약을 드시고 꾸준한 치료와 관리하시길 바랍니다^^
안녕하세요. 소준헌 물리치료사입니다.
요산 수치
성인 남성 3.4~7.0mg/dL
여성은 2.4~6.0mg/dL
입니다. 따라서 요산 수치 7.93은 고요산혈증에 해당하는 수치일 수 있습니다.
일단 엄지발가락 옆 뼈를 부딪혔기 때문에 통증이 있을 수 있는데, 타박상 말고도 요산 수치가 높기 때문에 식이조절을 잘하시면서 해당 병원에서 주신 약을 잘 드셔야 할거 같습니다.
답변에 도움이 돼셨으면 좋겠습니다.

