아하
  • 토픽

  • 스파링

  • 잉크

  • 미션


의료상담

유난히청순한매화

유난히청순한매화

송곳니 치뿌리가 소구치쪽으로 쓰러져 있어요

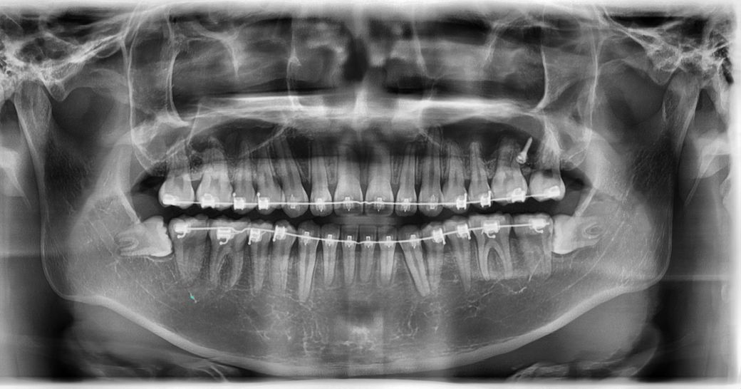
아이 치아 사진입니다.

하악 왼쪽 송곳니와 상악 송곳니 뿌리가 소구치쪽으로 쓰러져 있어요.

상악 송곳니는 교정전보다 조금 더 쓰러진 느낌이고 하악 송곳니는 교정전보다 많이 쓰러진 느낌입니다

이렇게 송곳니뿌리가 소구치와 가깝에 맞닿아 있으면 생길수 있는 부작용이 뭐가 있을까요?

그냥 놔두도 되는지 바로 세로워 하는지요?

  • 1번 째 사진
  • 2번 째 사진

4개의 답변이 있어요!

  • 안상우 치과의사

    안상우 치과의사

    목동안치과의원

    안녕하세요. 안상우 치과의사입니다.

    사진으로 봤을 때 송곤이 치아 뿌리에 각도는 이상이 없는 것으로 보입니다. 또한 파노라마 사진은 이 차적으로 보는 사진이기 때문에 정확한 뿌리의 각도를 보인다기보다 경우에 따라서는 겹쳐 보이는 것처럼 느껴질 수 있습니다.

  • 안녕하세요. 김지훈 치과의사입니다.

    그다지 쓰러져있어 보이지 않고 쓰러져 있다고 하더라도 특별히 치료를 할 수 있는 건 없습니다.

  • 안녕하세요. 김철진 치과의사입니다.

    사진상으로 보면 쓰러져 잇지만 교합상태가 괜찮으면 크게 문제가 되는건 없고 교합이 안좋으면 치아들이 부딪히면서 불편감이 생길수 있습니다.

  • 안녕하세요. 최석민 치과의사입니다.

    1. 교정 시 치아 머리 부분만 움직여 치축이 틀어진 것 같습니다 이미 배열이 완료되어 공간이 닫힌 경우 치근 이동 개선이 쉽지는 않습니다

    2. 엑스레이상 거의 붙어있을정도로 근접해보여도 왜곡이 있어서 그럴 수 있습니다

    3. 실제로 두 치근이 너무 근접하면 치근흡수의 가능성이 있고, 치아가 힘을 받는 장축방향이 수직이 아니면서 힘을 과도하게 받을 수도 있습니다