아핫뉴스실시간 인기검색어
아핫뉴스 화산 이미지
아하

의료상담

치과

탈퇴한 사용자
탈퇴한 사용자

치의학 관련해 궁금한 게 있습니다. 염증과 물혹의 차이와 의학용어 질문드립니다.

1. 치아염증 잇몸염증의 차이점 각각의 의학용어가 무엇인지

2. 물혹, 염증의 차이점과 각각의 의학용어가 무엇인지

3. 사진상 문제는 물혹인지 염증인지 어디에 해당하는지

4. 물혹, 염증의 차이점과 각각의 의학용어가 무엇인지

물혹 CYST

염증 ?

치아염증 ?

잇몸염증 ?

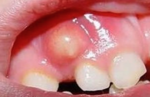
  • 1번 째 사진
  • 2번 째 사진
3개의 답변이 있어요!
  • 안녕하세요. 김철진 치과의사입니다.

    1. 치아염증 잇몸염증의 차이점 각각의 의학용어가 무엇인지

    -치아 염증은 치은염이나 치주염이라고 부릅니다. 치아 염증은 gingivitis라고 부릅니다.

    2. 물혹, 염증의 차이점과 각각의 의학용어가 무엇인지

    -물혹은 cyst라고 하기도 하고 사진에 보이는건 fistula라고 부릅니다.

    3. 사진상 문제는 물혹인지 염증인지 어디에 해당하는지

    -사진에 보이는건 fistula같습니다.

    4. 물혹, 염증의 차이점과 각각의 의학용어가 무엇인지

  • 안녕하세요. 안상우 치과의사입니다.

    사진으로 보이는 증상은 치아 내부의 신경관에 감염이 되어 바깥쪽으로 고름이 빠져나온 형태로 보입니다. 치근단 낭종이라고 하는데 원인을 제거하기 위해서는 감염 원인을 확인하고 제거해야 합니다.

  • 안녕하세요. 최석민 치과의사입니다.

    1. 염증은 inflammation 이고 신체 내부의 면역방어체계가 형성하는 이물질에 대한 반응이라고 보시면 됩니다 그게 치아내부 신경관에서 비롯되었는지, 잇몸에서 비롯되었는지로 구분합니다

    치주염(periodontitis)과 치근단염증(apical inflammation)으로 구분합니다

    2. cyst가 물혹입니다

    3. 사진상 단순 염증은 아닌 것 같습니다