아하
  • 토픽

  • 스파링

  • 잉크

  • 미션


의료상담

최고로고요한떡갈비

최고로고요한떡갈비

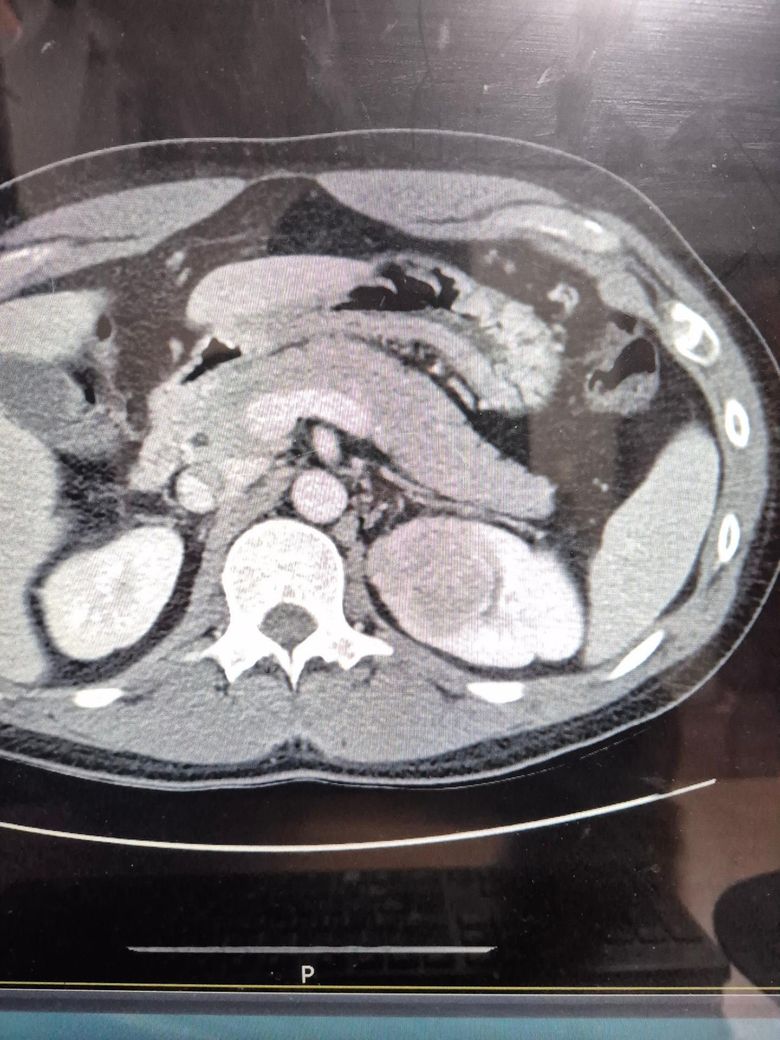
왼쪽 신장에 4.5센치 가량되는 혹이 있습니다.

성별

남성

나이대

20대

맨처음은 가슴 시티상 2.5센치 가량되는 혹이였다고 했는데 복부 시티 결과 4.5센치 였습니다. 상급병원 기더리눈 동안 너무 불안해서요 ㅠㅠ 혹시 암일까요?

  • 1번 째 사진
  • 2번 째 사진
  • 3번 째 사진

2개의 답변이 있어요!

  • 강한솔 의사

    강한솔 의사

    응급의학과/피부미용

    안녕하세요. 강한솔 의사입니다.

    현재 4.5cm 정도의 신장 종괴가 있는데, 이 크기면 양성도 있고 악성도 있을 수 있어서 정밀평가가 필요합니다.

    처음 가슴 CT에서 작게 보인 건 신장을 제대로 보는 CT가 아니라서 흔히 있는 현상이고, 복부 CT가 실제 크기에 가까운 겁니다.

    정확한 판단은 ‘신장 전용 조영 CT’를 통해 합니다. 비조영–동맥기–정맥기–배설기까지 단계별로 보는 CT인데, 이걸 보면 종괴가 낭종인지 고형인지, 조영이 어떻게 되는지, 주변으로 퍼지는지 등을 거의 판단할 수 있습니다.

    만약 CT만으로 양성인지 악성인지 애매하면 그때 MRI를 추가하기도 합니다.

    Renal angio CT는 처음 감별용은 아니고, 종괴를 제거하는 수술을 계획하게 될 때 혈관 구조를 정확히 보기 위해 필요합니다. 특히 크기가 4~5cm면 부분절제술이 가능한 경우가 많아서, 수술 전 준비 단계에서 사용할 수 있습니다.

    조직검사는 영상으로도 판단이 어려운 특수한 경우에만 고려하고, 대부분은 영상 소견으로 치료 방향이 결정됩니다. 20대라면 수술 위험도도 낮아서, 영상에서 악성이 조금이라도 의심되면 생검 없이 바로 치료하는 경우도 흔합니다.

    결국 순서는 신장 전용 CT → 필요 시 MRI → 수술 고려 시 Renal angio CT 이렇게 진행되는 게 일반적입니다.

    현재 올려주신 사진을 바탕으로는 암인지 아닌지 알기 힘듭니다.

    진료까지 답답하신 것은 이해하지만, 그 누구에게가도 직접 영상 본 것 아닌이상 명확하게 답변드리기 힘듭니다.

  • 안녕하세요. 파파닥터 입니다.

    걱정이 많으시겠네요...하지만..미리 걱정하시기 보단 검사를 받아보시고 정밀 검사 후 결과를 듣고 대비하셔도 늦지 않습니다.

    사진만으로 이 혹이 암인지 100% 단정할 수는 없지만, 4.5cm 크기의 신장 종양은 ‘양성일 가능성도 있지만(실제 양성 종괴도 많습니다.) 악성 가능성도 반드시 평가해야 하는 크기’이기 때문에 상급병원에서 빠르게 정밀검사를 받으시는 것이 꼭 필요합니다.


    지금 단계에서 “너무 불안해할 필요는 없지만, 미루면 안 되는 상황”입니다.

    신장 혹이 암인지 아닌지는 CT만으로 판단이 완전하지 않습니다.(사진도 충분하지 않습니다. )
    특히 4cm 이상이면 악성 가능성이 통계적으로 증가하기 때문에 전문의 진료가 꼭 필요합니다.
    하지만 신장 종양은 생각보다 천천히 자라는 경우가 많아 며칠~몇 주 진료 대기 자체가 위험하지는 않은 경우가 대부분입니다.

    종양의 성격을 결정하는 데에는 몇 가지 영상학적 특징이 중요합니다.
    조영증강 패턴, 경계의 형태, 내부의 균질성, 지방 성분이 포함되어 있는지 등입니다.
    일부 양성 종양(예: 혈관근지방종)은 CT에서 비교적 명확하게 구분되지만, 많은 경우는 영상만으로 완전 구분이 되지 않아 비뇨의학과에서 추가 검사가 필요합니다.

    신장암이라고 해도 초기 단계에서 발견된 경우 예후가 매우 좋습니다.
    4~5cm 정도의 종양은 비교적 조기 단계에 해당하는 경우가 많고, 수술을 해야하는 경우라고 해도..신장 부분절제술로 장기 기능을 잘 보존하면서 치료되는 사례가 많습니다.
    또한 20대는 전이 가능성이 상대적으로 낮고 예후가 훨씬 좋은 편입니다.

    일반적으로 다음과 같은 절차가 이뤄집니다.
    전문의 판독으로 영상 재검토
    필요 시 신장 MRI 추가
    종양의 크기와 모양에 따라 수술 여부 및 방식 결정
    간혹 생검을 하기도 하지만, 신장 종양은 영상으로 판단하여 필요한경우라면 바로 수술하는 경우가 더 흔합니다.

    좌측

    사진 상으로는 내부가 균질해 보이는 듯하지만 CT 화질만으로 양성/악성을 단정할 수는 없습니다.
    그러나 크기가 4cm를 넘기 때문에 반드시 평가를 받아야 합니다.
    다만 급성 위험이 느껴지는 형태는 아니므로 진료 대기하는 동안 미리 너무 걱정하지는 않으셔도 됩니다.

    마음 많이 쓰이시겠지만 지금 단계에서는 “빠르게 정확히 확인할 필요는 있지만 충분히 좋은 방향으로 갈 수 있다”는 점을 꼭 기억하시길 바랍니다.