의료상담

어제 발치했는데 임플란트 해야 하는지 선생님들 소견 부탁드립니다

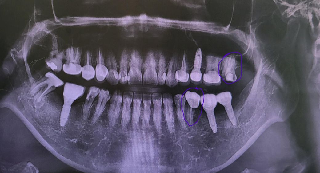
예전에 이 했던 데가 떨어져서 어제 치과을 갔는데요 원장님이 치아가 많이 썩었다고 못 살린다고 뽑아야 한다고 하시더라고요ㅜㅜ 그래서 뽑았는데 뽑을 때도 오래 걸렸어요ㅠㅠ 왼쪽 위 끝 어금니 데요 발치해서 뻥 뚫여있어요ㅜㅜ 일주일 지나면 괜찮아진다고 하시는데ㅠㅠ 임플란트 해야 하냐고 물으니 생활해 보고 불편하면 하고 안 불편하면 안 해도 된다고 하시더라고요.. 근데 집에 와서 보니 만약에 안 불편해서 안 하면은 아래쪽 어금니가 위로 올라오지 않나요? 불편하지 않으면 안 해도 되는지.. 조언 부탁드립니다ㅜㅜ 그리고 왼쪽 아래에서 끝에서 3번째 어금니도 신경까지 다 썩어서 나중에 떨어지면 것도 발치 해야한다고 하시더라고요ㅠㅠ 근데 여기는 임플란트 꼭 해야 한다고 하셨어요😭

  • 1번 째 사진

2개의 답변이 있어요!

  • 안녕하세요. 안상우 치과의사입니다.

    치아를 상실하게 되면 치아를 수복해 주는 것이 좋습니다. 치아가 없게 되면 해당 치아가 받을 교합력이 다른 치아에 가해져서 다른 치아에 무리가 될 수 있을 뿐만 아니라 주변 치아가 이동하게 되어 치열이 어긋날 수 있기 때문입니다.

    자세한 확인을 위해서 치과에서 진료를 받아보는 것을 권유드립니다.

  • 안녕하세요. 최석민 치과의사입니다.

    상태 안좋은 치아들이 몇개 더 있네요

    왼쪽 위 제일 끝치아는 맞닿는 치아가 임플란트이므로 빈공간이 있더라도 임플란트가 올라오진 않습니다 그래도 다른 어금니들의 교합력 생각하면 임플란트 심어주는게 좋긴하죠