아핫뉴스실시간 인기검색어
아핫뉴스 화산 이미지
화산 아이콘 11
유열 폐 이식 수술
아하

의료상담

정형외과

잘생긴게260
잘생긴게260

회전근개 부분 파열 어느정도인가요?

성별
남성
나이대
25
기저질환
없음
복용중인 약
근육이완제, 소염진통제

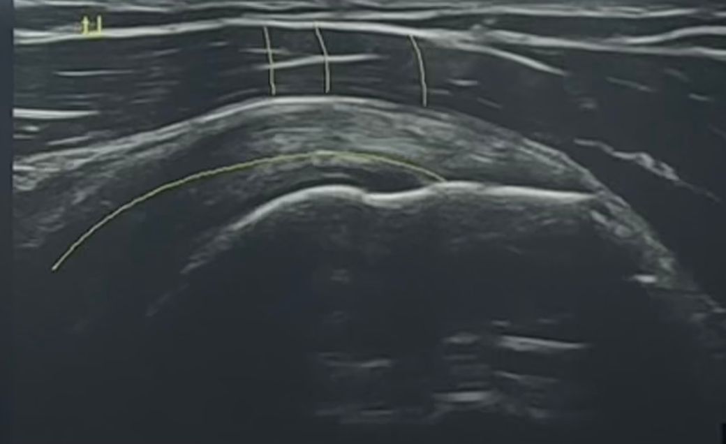
극상근 부분입니다.

초음파사진 촬영한 부분입니다.

내년에 피트니스 대회가 목표인 사람입니다.

2주 전에 갔던 병원 의사분께서는 극상근 일부 파열이라고 진단하셨고

이정도면 심각한건 아니고 그냥 간단하게 보존치료 및 약물치료정도만 해도 된다고 하셨는데

혹시 이정도면 대략 몇퍼센트 파열인지 궁금하며

앞으로 선수생활을 할꺼면 결국 수술을 해야한다..

또는 이정도면 완전 괜찮다.. 심각성 정도를 알 수 있을까요?

(제 눈에는 1/4인 대략 25퍼센트 정도로 보이는데 그렇게 보면 될까요)

참고로 해당 부위를 누르면 통증은 있으나 팔 움직임에 의한 통증은 없습니다.

인생의 꿈이 조금 무너지는거같아 막막하네요~ ㅠ

감사합니다.

  • 1번 째 사진
3개의 답변이 있어요!
  • 초음파 검사는 실시간으로 하는 검사라서 저장할때의 위치? 시간? 에 따라 다른사람이 사진만보고 판독을 하기엔 무리가 있습니다. 부분 파열로 진단 주셨다면, 아마 여러 컷에서 검사할때 그런 소견이 있었을 것 같구요, 그 외에도 bursitis라고 윤활막염 소견이 있습니다. 사실 어깨를쉬어준거나 아니면 운동법에서 팔을 위로 드는 래플다운 동작보다 로우같은 운동법으로 바꿔주시는게 좋습니다.

    피트니스 대회에서 도핑이 있다면 아마 주사치료는 좀 힘들수도 있고, 병원에따라 스테로이드 배제한 주사치료를 하는곳도 있으니 혹시 증상이 지속/악화된다면 다른 치료법도 한번 알아보시는게 좋을 순 있겠습니다.

  • 안녕하세요. 김덕현 물리치료사입니다.

    사진한장으로만 파악하기에는 어려움이있는데요 좀더 정확한 진단을위해서는 MRI와같은 정밀검사가 필요할수있고 초음파검사를받은 병원으로 내원해 전문의와 상담을받아보시길 바랍니다 감사합니다~

  • 안녕하세요. 송진영 물리치료사입니다.

    초음파상 극상근의 부분 파열이 25% 내외로 보인다면 비교적 경미한 편이고 운동 시 통증이 없고 기능이 유지된다면 보존적 치료로 충분히 관리 가능합니다.

    하지만 피트니스 대회 준비처럼 고강도 운동을 목표로 한다면 회복 후에도 재파열 방지를 위한 재활과 정기적 추적검사가 매우 중요합니다!